介入医学科
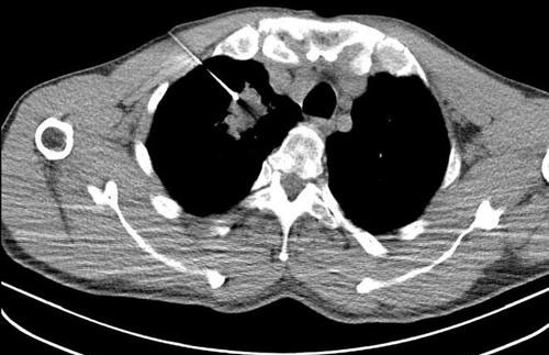
精准医疗,微创介入介入医学科是以影像引导的微创诊疗手术,专注于诊治各种疾病,致力于为患者提供安全、精准、高效的诊疗服务。科室依靠先进的CT等影像设备,通过微创技术手段开展肺结节、良恶性肿瘤等消融治疗,各部位穿刺活检及置管引流等,优势为不开刀、创伤小、恢复快、效果显著,提供契合现代医学“精准微创”理念的诊疗方案。一、微创消融治疗:肺结节、肺癌等病灶,可行微波/射频消融术及氩氦刀冷冻消融治疗,利用微创技术,不开刀,治疗肺结节及良恶性肿瘤等,肺结节、早期肺癌等可直接根治,达到与手术切除同等疗效,同时保留完整肺组织,不影响肺功能。中晚期患者可做到局部减瘤负荷联合全身靶向、免疫及放化疗等,双管齐下,效果优于单一治疗方案二、精准穿刺活检:利用微创穿刺技术直接取得病灶内部组织,…更多>>
查看更多 医疗团队
专家出诊
主任医师
副主任医师
主治医师
知名专家
住院医师
研究员
副研究员
助理研究员
主任护师
副主任护师
主任药师
副主任药师
主管药师
医师
特聘专家
主管护师
护师
技师
主任检验师
主任技师
副主任技师
副研究馆员
主管技师
初级士
-
主管营养技师
营养医师
研究实习员
普通门诊
专家门诊
特需门诊
专科门诊
知名专家门诊
未开启预约
时间未到
可预约
时间已过
暂停
假期
约满
停诊
替诊
被替诊
换诊
(*出诊信息仅供参考,以门诊公布为准)
查看更多健康科普
- 2021-09-02 胸部病变穿刺活检常见的并发症有哪些?




