您好!欢迎来到首都医科大学附属北京胸科医院官方网站!

引导页

科室介绍

Department

您所在的位置: 首页 >> 科室介绍 >> 介入医学科>> 特色技术及简介 >>正文

特色技术及简介

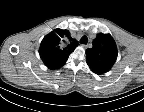
CT引导下胸部病灶穿刺活检术

字号:+-14

图片2.jpg

  CT引导下胸部穿刺活检目的是以最小的创伤准确获得肺内病变或胸膜病变组织,通过穿刺活检后的病理检测了解肺癌的具体细胞学类型、分化程度、靶向药物治疗敏感程度等相关信息,为临床进一步诊疗提供依据。

  检查前影像科医师评估患者身体状况,仔细评价患者胸部增强CT影像,判断其是否适宜进行CT引导下穿刺,是否为CT引导下肺穿刺活检术的适应症,明确执行该手术对患者的诊疗意义,初步确定穿刺路径及取材部位。