查看更多 医疗团队
专家出诊
主任医师
副主任医师
主治医师
知名专家
住院医师
研究员
副研究员
助理研究员
主任护师
副主任护师
主任药师
副主任药师
主管药师
医师
特聘专家
主管护师
护师
技师
主任检验师
主任技师
副主任技师
副研究馆员
主管技师
初级士
-
主管营养技师
营养医师
研究实习员
普通门诊
专家门诊
特需门诊
专科门诊
知名专家门诊
未开启预约
时间未到
可预约
时间已过
暂停
假期
约满
停诊
替诊
被替诊
换诊
(*出诊信息仅供参考,以门诊公布为准)
查看更多专业组或者亚科室介绍
-
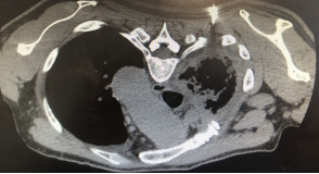
胸腔积液专业组
目前团队成员5人,博士后1人,博士学位1人,硕士学位3人,主任医师1人,副主任医师4人。擅长:结核性胸膜炎的早期诊断;良恶性胸腔积液的鉴别诊断;不明原因胸腔积液的诊断;结核性多浆膜腔积液的诊疗;结核性胸膜炎的规范化治疗;包裹性胸腔积液和脓胸的治疗。 详细>>
-
脑膜炎和NTM病专业组
目前团队成员5人,博士学位2人,硕士学位3人,主任医师2人,副主任医师1人。擅长脑膜炎及非结核分枝杆菌病诊治,并从解决临床问题出发开展了系列的科学研究,包括开发NTM早期快速诊断方法、研究NTM新的化疗方案以及应用综合治疗手段治疗难治性NTM病。对于难治中枢神经系统结核病的内外科联合治疗为本主诊组的特色,对于耐药… 详细>>
查看更多科研项目
- 2021-06-08 国家传染病防治重大专项“NAT2基因多态性用于优化结核性脑膜炎治疗方案”
- 2021-06-08 美国国立卫生研究院“耐多药结核性脑膜炎抗结核药物药代动力学评价”
- 2021-06-08 北京市科委“菌阴肺结核诊断标准优化研究”
- 2021-06-08 北京市科委“结核性胸膜炎短程治疗的实效性整群随机对照研究”
- 2021-06-08 国家传染病防治重大专项“基因诊断标志物及其新技术的临床验证”
查看更多健康科普
- 2021-07-27 糖尿病健康知识
- 2021-07-27 结核性脑膜炎患者的健康指导
- 2021-06-08 结核病在中国消失了吗?
- 2021-06-08 为什么肺结核疗程长达六个月?
- 2021-06-08 90%肺结核病人可治愈?
- 2021-06-08 漫话非结核分枝杆菌病













