您好!欢迎来到首都医科大学附属北京胸科医院官方网站!

引导页

科室介绍

Department

您所在的位置: 首页 >> 科室介绍 >> 结核三科>> 检查指南 >>正文

检查指南

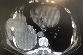
CT引导下胸腔积液置管引流

字号:+-14

针对局限少量的包裹性积液,常规超声定位不能进行胸腔穿刺时,CT引导下放置引流管引流胸水是一种安全的微创技术,不仅可以采集胸水用于诊断,还可以同步进行胸膜穿刺活检获取胸膜组织进行诊断,放置引流管后还可以注射尿激酶、组织相容性纤溶酶原等药物进行相关治疗。

image.png

image.png