科普文章
-
2026-02-16
【首都除夕·护卫健康】2026春节健…
2026年春节将至,为守护大众健康,医院宣传处特策划“健康春节,每日守护”科普专栏。从除夕到正月初七,我们将针对春节期间的常见健康误区和风险,为您带来科学、实用的健康指南。春节的重头戏——年夜饭,…
-
2026-02-06
【肺癌诊疗先锋】第二十五期:精准…
在医疗技术飞速发展的今天,对于肿瘤患者而言,治疗早已不再局限于生理层面的病症消除,心理层面的关怀与疏导同样是战胜病魔的关键力量。北京胸科医院肿瘤三病区以 “胸心港湾” 特色服务为依托,用精准的…
-
2026-02-05
【胸科故事】超声引导下穿刺精准“…
近日,北京胸科医院超声医学科主任王金萍团队凭借精湛技术,为一名疑难积液患者成功实施超声引导下液性包块穿刺治疗术。术后患者呼吸困难症状迅速缓解,次日便送来锦旗致谢,彰显了超声引导介入治疗的精准…
-
2026-01-30
【肺癌诊疗先锋】第二十四期:精准…
人生如长河,有时平静如镜,有时波涛汹涌。当肺癌的诊断像一块巨石投入生命的河流,激起的不仅是涟漪,更是对未来的迷茫与不安。在首都医科大学附属北京胸科医院,我们相信,医学不仅是科学,更是一门充满…
-
2026-01-23
【肺癌诊疗先锋】第二十三期:一位…
“大夫,我父亲只是咳嗽了两三个月,怎么会一下子变成晚期肺癌?”——这是2024年1月,北京胸科医院肿瘤中心一病区,老李的儿子迫不及待地问出的一句话。面对焦虑的家属,我和主任医师王敬慧把一份刚刚打印…
-
2026-01-16
【肺癌诊疗先锋】第二十二期:“九…
当“热血青年”撞上“晚期肺癌”2016 年 5 月的一天,忙碌了一整天的小沈突然一阵剧咳,咳出了一口带血丝的痰液,他以为是“熬夜上火”,却没想到,这口血痰拉开了一场跨越 9 年、至今仍在续写的生命长跑…
-
2026-01-15
【医生笔记】KRAS突变肺癌不再是“…
“现在我不仅能自己照顾自己,还能帮着带孙子,这在三年前想都不敢想!”73岁的任阿姨坐在首都医科大学附属北京胸科医院的诊室里,笑着向张同梅主任医师分享近期的生活点滴。这位曾被KRAS G12C突变肺癌逼入…
-
2026-01-09
【胸科科普】中草药用药知识手册
宣传中心出品
-
2026-01-09
【肺癌诊疗先锋】第二十一期:一位…
赵先生,58岁,一个普通的公园管理员,每日与绿树清风为伴。2016年起,他开始出现咳嗽、咳痰症状,起初并未在意。2017年11月,他的咳嗽症状加重,并伴发胸闷气短,但他仍未就诊,直至2018年6月,胸闷气短…
-
2026-01-08
【肺癌诊疗先锋】第二十期:精准射…
“大夫,我这条命是捡回来的,您看还能再捡一次吗?”时光拉回到2022年4月的一天,70 岁的老高把瘦削的身子塞进北京胸科医院放疗门诊的座椅,左胸口袋隆起——三天前,心内科刚在那里埋入一台 CRT-D(心脏再…
-
2026-01-08
【学科风采】北京胸科医院科室简介…
北京胸科医院胸外一科胸外一科作为我院的重点科室,目前开放病床52张,共有临床医护42人,其中医生12人,研究生以上学历10人,获得博士学位9人,主任医师4人,分为2个主诊组。每年四级胸部手术1000余台次…
-
2026-01-06
【胸科故事】辗转求医终有“医”靠…
近日,一位年轻患者在经历一个月内辗转多家北京知名医院却始终未能明确诊疗方案后,最终在北京胸科医院胸外科成功接受手术治疗,顺利康复出院。这一病例不仅为患者解除了“定时炸弹”般的健康隐患,也再次…
-
2026-01-05
北京胸科医院超声医学科精准微创…
近日,北京胸科医院超声医学科成功为一名因乳腺肿块引发心理焦虑的年轻患者实施超声引导下精准穿刺抽液治疗。该技术以微创、无痛的优势,不仅快速解除病灶,更有效缓解患者心理负担,充分体现了医院“身心…
-
2025-12-29
【医生笔记】115公斤胖大哥的“无…
初识患者周二上午门诊,我刚坐下,就进来一位高高壮壮的大哥,愁眉苦脸的,一开口就问:“医生,你们这儿能做查肠癌的基因检测不?”今年40岁的张先生(化名)体重快115公斤了,细聊之下才知道,他家人前…
-
2025-12-26
【胸科科普】生命的呼吸通道:走近…
大夫,我们不想‘割喉’,病人太痛苦了……这是许多重症患者家属初次听到“气管切开”时的第一反应。然而,这个直径不足2厘米的人工气道,往往承载着延续生命的重要使命。作为重症医学科医生,我们每天见证着…
-
2025-12-23
科普问答:流感病毒来袭,我们该…
什么是流感病毒?流感病毒分为甲(A)、乙(B)、丙(C)、丁(D)四型,其中甲型变异快、易引发大流行,乙型常导致季节性流行,丙型症状较轻,丁型主要感染动物,人际传播罕见。流感病毒可通过飞沫、接触…
-
2025-12-23
【医生笔记】不开刀治阑尾炎!从剧…
初识患者在消化科的门诊,每天都像上演着一部部独特的生命短剧。每一个病例的背后,都关联着一个鲜活的个体,承载着一段独一无二的经历。今天,我想和大家分享一则关于内镜下治疗阑尾炎的故事。这项技术是…
-
2025-12-19
【肺癌诊疗先锋】第十九期:守护晚…
2025年12月17日,在与晚期肺癌抗争的漫长征途中,74岁的陈老(化名)用亲身经历诠释了“希望”二字的分量。自2021年深秋确诊左肺下叶腺癌IVB期以来,在北京胸科医院肿瘤中心医护团队的全力救治与温情陪伴…
-
2025-12-17
【学科风采】北京胸科医院科室简介…
北京胸科医院消化内科:首都医科大学附属北京胸科医院消化内科是医院在建设“国内一流、国际知名”现代化胸科医院战略目标引领下,按照“强专科、精综合”的发展思路,引进解放军总医院第七医学中心消化内科…
-
2025-12-16
【医生笔记】31岁女子脐周隐痛竟藏…
初识患者“就偶尔肚子疼,排便后就好,我以为是吃坏了东西,怎么也想不到会是癌症。”拿着结肠癌诊断报告时,31岁的王女士(化名)仍难掩惊讶。近日,北京胸科医院消化内科凭借细致入微的诊疗功底和多学科…
-
2025-12-11
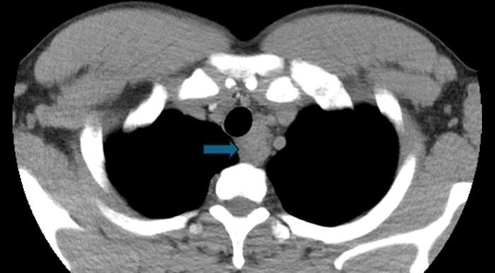
【胸科故事】一根细针揭开纵隔肿物…
一个月前,我收到胸外科同事递来的一张内镜检查申请单:36岁男性,发现“纵隔肿物”。这类患者在我院并不少见,但每一次,我都如履薄冰。打开他的胸部CT,我仔细观察肿物与食管、气管的位置关系——距离够近…


