科普文章
多发磨玻璃结节如何处理?
编者按
磨玻璃结节如果可以与肺癌画等号,多发磨玻璃结节岂不是意味着肺上全是肿瘤,已是不可治疗的晚期?答案是否定的,长期随访发现即使是多发磨玻璃结节,预后大多非常好,与晚期肿瘤预后并不符合,因此临床上更多地将多发磨玻璃样的肺癌归为多原发癌,也就是多个结节单独生长,相互之间没有典型的转移关系。本文我将以先以问答的形式,将多发磨玻璃结节进行归纳,希望为这类患者答疑解惑、消除焦虑情缘;最后再用几个典型病例举一反三。
(本文所说的磨玻璃结节均是高度怀疑为肺癌的结节。)
问答 | 多发磨玻璃结节
磨玻璃结节是怎么形成的?
癌细胞沿肺泡壁生长,肺泡壁逐渐增厚,但肺泡腔还未长实,这时从CT上看这处病变就是一团模模糊糊的影子,类似于磨砂玻璃。它的密度高于正常肺组织,但低于一般软组织。随着癌细胞生长扩散,肺泡腔越来越小、肺泡壁越来越厚,最终长为实性结节。这种癌由于来源于肺泡壁,所以均为腺癌,而且本身具有多发倾向。因此CT体检发现一处磨玻璃结节,一定要仔细看片子,避免遗漏。这也是为什么很多患者入院后要求再进行CT检查的原因,外院的CT胶片可能只能看到主要病变,对于其它较小、较淡的结节一定需要在电脑看原始图像才能看见。

肺磨玻璃结节形成模式图
多发磨玻璃结节样肺癌一定都是多原发癌,没有转移的可能么?
多发病变如何区别是多原发还是相互转移是一个临床难题,很多学者对此都做过研究。如果两处病变病理类型不同,如一个是腺癌一个是鳞癌,那大家很容易接受它们是两个不同的肺癌,即双原癌;如果两处病变病理类型相同,病变之间又有淋巴结转移,那么更倾向认为是一处转移到另一处。但磨玻璃结节样的肺癌病理均为腺癌,淋巴结又极少有转移,既有转移癌特征又有多原发的特征。因此单从病理上很难判断是多原发还是转移。
现在临床上有两个方法进行识别:
1看预后,如果多发磨玻璃样肺癌预后很好,患者长期生存,那么就是多原癌;
2对每个病灶进行基因检测,从分子层面找到每个病灶的相同点、不同点。
我的师姐对两例多发磨玻璃结节患者的全部病灶进行了全外显子测序(一位患者有8个结节,左3右5;另一个有6个,均在右侧),结果发现:几个距离较近的结节有相同的基因突变(包括常见的突变和一些很罕见的突变)。这意味着这几个结节由共同的祖先转移而形成。但这些病变内部看不到血管及淋巴管癌栓,不存在胸膜侵犯等情况。因此并非典型的血型播散,而更可能是“气腔内播散”。
李晓|公众号:AME科研时间
北京大学人民医院王俊团队与生命科学院白凡课题组首次发现肺内GGO存在转移的证据
因气腔播散而形成的多发磨玻璃结节,与常见的晚期肿瘤相比,预后要好的多。因此,多发磨玻璃结节有可能是多原发、多个癌单独生长,也有可能是一处病灶的癌细胞脱落飘落到其它肺泡而形成。不管怎么形成,它们预后均较好,不同于常见的晚期肿瘤。
多发磨玻璃结节是否应该手术治疗,何时进行手术治疗?
多发磨玻璃结节患者可能迟早要进行手术切除,为什么这么说?这类病变高度怀疑肺癌,但没有病理依据,手术是获得病理的最好途径(CT引导下穿刺有假阴性或穿不到的可能),因此即使为了诊断,也有手术的必要。
但什么时候进行手术、怎么手术,就非常考验患者的心理和外科医生的水平了。原则上是尽可能地切除全部病灶、尽可能地减少肺损伤。具体体现在以下几点:
1第一次发现后不着急切,可以定期复查(复查时间看患者心理素质),每半年复查一次CT,若某个病灶明显增大、变实,可以考虑手术切除。
2若所有病灶或主要病灶都在同一个肺叶,可以直接手术切除该肺叶。
3若双肺都有,且不局限在一个肺叶,则首先切除较大的、有实性成分、靠近肺周边的。
4若两侧的病灶均较大、较典型,可优先切除右侧,二期再行手术切除左侧。
5右侧最多切除一个肺叶+若干楔形,左侧最多切一个肺叶+1个楔形。
6优先切除较大的、位置集中的、典型的、周边的。
7能楔形切除尽量楔形切除,避免多个肺叶切除。
8术中准确找到磨玻璃结节是难点,因此有把握找到的病灶优先切除;如果无把握找到,毋切!
9若病灶较淡较小,可术前行定位,但需考虑到定位失败,术中找不到病灶的可能。这时只能被迫行肺叶切除,在切下的肺叶中再找病灶。
10外科医生需要有耐心寻找每一个病灶,包括术前看CT、术中触诊、术后在肺上标记病灶。尤其是后者,不要把切下来的肺直接给病理科送去。因为病理科医生不知道肺内有几个病灶、位置在哪,若是找不到或是有遗漏对患者就很难交待。
总之,CT体检发现多发磨玻璃结节一定要找有经验的胸外科医师帮助决策。这句话的重点是“胸外科医师”,而不是肿瘤科、呼吸科、结核科、放射科等其它科室的医生。
多发磨玻璃结节手术是否可以切干净?
局限在一个肺叶上的多发磨玻璃结节可以切除干净;若是双肺都有、每个肺叶都有,而且位置较深,那手术就很难完全切除,只能切除典型的、较大的、位置集中的,毕竟不可能把双肺都切了。
多发磨玻璃结节切除后效果好么?
如果有部分结节不能切除怎么办?
不管单发还是多发磨玻璃结节样的肺癌,均处于肺癌生长的早期阶段,平均倍增时间为1300天左右,生长非常慢。手术切除预后很好,文献报道5年生存率在95%以上。影响预后的因素是主要病灶的分期,也就是最大、实性成分最多的那个病灶的分期,如果它的分期较高,预后相对较差。
文献报道,若手术不能切除全部病灶,有40%的残留磨玻璃结节在5年内会长大,在15%的患者可能有新发磨玻璃结节。但有病灶残留,或术后新发磨玻璃结节,均不影响患者生存;患者生存的主要影响因素还是主要病灶的分期。所以当手术不能完全切除病灶时,患者不必惊慌失措,可以放下心来定期复查。当病灶增大时可以选择再次手术、口服靶向药物或放疗,这时候治疗针对性更强、效果也都非常好。
Bongiolatti S, Corzani R, Borgianni S, et al. Long-term results after surgical treatment of the dominant lung adenocarcinoma associated with ground glass opacities. J Thorac Dis 2018; 10(8): 4838-4848. doi: 10.21037/jtd.2018.07.21
Yoshihisa, Shimada, Hisashi, et al. Survival of a surgical series of lung cancer patients with synchronous multiple ground glass opacities, and the management of their residual lesions[J]. Lung cancer, 2015, 88(2): 174-180.
Jong Ho, Cho, Yong Soo, et al. Long term out comes of wedge resection for pulmonary ground glass opacity nodules[J]. Ann thorac surg, 2015, 99(1): 218-222.
多发磨玻璃结节是否都有基因突变,可以吃靶向药物?
多发磨玻璃结节样肺癌多为腺癌,且女性、不吸烟者多见,EGFR基因突变概率约为40%-50%,ALK突变约7%,不同病灶间突变不一致率约为80%-90%,浸润性腺癌的EGFR突变率高于微浸润腺癌、原位腺癌、不典型腺瘤样增生。当患者存在常见EGFR基因突变,如19del或L858R时,若手术不能完全切除病灶可考虑术后行靶向治疗。但我更建议患者先行观察、定期随访。主要有以下原因:
1主要病灶切除后,其它病灶对生存影响较小,且发展较慢,没必要早期干预。
2不同病灶间突变不一致率较高,根据切除的病灶基因突变状态去推测未切除的病变,治疗效果不确切。
3这种状态下吃靶向药无法医保报销。
Liu M, He W-X, Song N, et al. Discrepancy of epidermal growth factor receptor mutation in lung adenocarcinoma presenting as multiple ground-glass opacities. Eur J Cardiothorac Surg 2016;50:909–913.
Chunyan Wu, Chao Zhao, Yang Yang, et al.High Discrepancy of Driver Mutations in Patients with NSCLC and Synchronous Multiple Lung Ground Glass Nodules[J].J Thorac Oncol, 2015, 10(5): 778-783.
多发磨玻璃结节样肺癌如何TNM分期?
多发磨玻璃结节样肺癌多被认为是多原癌,因此以前都主张对每个病灶单独分期,或对主要病灶分期。2016年第8版TNM分期主张T以主要病变的T分期为准,在括号中以肿瘤数目或m表示多灶性,如T1a(3)N0M0或T1b(m)N0M0。对于弥漫性肺炎型肺癌,则建议在一个肺叶内按大小(或T3)划分T,在同侧不同肺叶内按T4划分,在对侧按M1a划分。
The IASLC Lung Cancer Staging Project: Background Data and Proposals for the Application of TNM Staging Rules to Lung Cancer Presenting as Multiple Nodules with Ground Glass or Lepidic Features or a Pneumonic Type of Involvement in the Forthcoming Eighth Edition of the TNM Classification.
多发磨玻璃结节术前、术后是否需要进行PET-CT、骨扫描、气管镜等检查?
多发磨玻璃结节代谢水平低,对葡萄糖摄取不高,PET-CT作用有限,不常规检查。气管镜仅能发现大气道内的病变,对磨玻璃结节诊断无太大作用。临床上确实发现个别磨玻璃结节的患者骨扫描有阳性结果,但可信度存疑,需要长期随访才能明确是否是真的骨转移。因此对于有实性成分的磨玻璃结节患者可选做骨扫描。
多发磨玻璃结节发现后多久进行复查,手术后多久进行复查?
文献报道纯磨玻璃结节平均倍增时间以体积计为1448天,以实性成分计为1332天,1年、2年、5年累积生长百分比为10%、25%、51%。也就是说磨玻璃结节发现后,1年体积增加约10%,在CT横断面上面积的增加肉眼根本无法分辨。因此,我多主张发现磨玻璃结节后每半年做一次CT检查,若该结节有明显实性成分,则3个月后复查,若病变不消失就应该尽早手术。
同样地,术后我一般主要患者每半年复查胸部CT。这样既能及时发现病灶是否增长,又不至于接受更多放射线、减少患者医院来回奔波时间。
Qi, L., Wu, B., Tang, W. et al. Long-term follow up of persistent pulmonary pure ground glass nodules with deep learning assisted nodule segmentation. Eur Radiol (2019)
doi:10.1007/s00330-019-06344-z
Yoshihisa, Shimada, Hisashi, et al. Survival of a surgical series of lung cancer patients with synchronous multiple ground glass opacities, and the management of their residual lesions[J]. Lung cancer ,2015, 88(2): 174-180.
典型病例
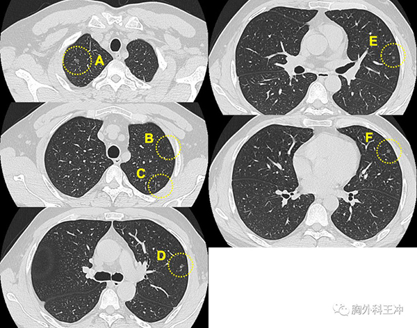
基本情况 女性,65岁,2013年体检发现双肺多发磨玻璃结节,未行治疗,今年复查几乎所有结节均增大,有新发结节。
手术方式 VATS右肺上叶切除、淋巴结清扫术
病理结果 病灶A 浸润性腺癌,1.5cm,贴壁型60%,腺泡型20%,乳头型20%
病灶D 微浸润腺癌,0.7cm,浸润直径0.2cm
基因检测 未做
手术理由 1、多发磨玻璃结节均明显增大;
2、右肺上叶较大者,范围扩大、实性成分增加,应优先处理;
3、右肺上叶结节最多,宜优先处理;
故进行右肺上叶切除。
下一步治疗 行基因检测,定期复查

基本情况 男性,44岁,2019年6月体检发现双肺多发磨玻璃结节,较大者位于右肺上叶。
手术方式 VATS右肺上叶楔形切除、淋巴结采样术
病理结果 微浸润腺癌,浸润灶直径2mm
基因检测 exon2 MAP2K1
手术理由 1、形态典型,早期肺癌可能大;
2、右肺上叶病灶A最大,位置靠近肺尖,好切,肺损伤小;
3、左肺病灶较小,可先观察;
4、患者有手术意愿,希望明确诊断;
故进行右肺上叶楔形切除。
下一步治疗 有基因突变但无对应药物,术后定期复查

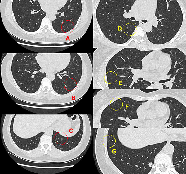
基本情况 女性,33岁,体检发现双肺多发磨玻璃结节3年,定期复查未见变化。
手术方式 VATS右肺上叶楔形切除、下叶楔形切除、淋巴结采样术
病理结果 病灶A:原位腺癌
病灶E:微浸润腺癌,浸润成分乳头型、腺泡型,浸润深度2mm
病灶F:原位腺癌
基因检测 未做
手术理由 1、形态典型,早期肺癌可能大;
2、右肺为主,部分结节靠近胸膜,可切除明确诊断,损伤小;
3、患者观察时间较长有手术意愿,希望明确诊断;
故进行右肺上叶楔形、下叶楔形切除。
下一步治疗 术后定期复查

基本情况 女性,47岁,体检发现双肺多发磨玻璃结节1年,较大者位于左肺下叶。
手术方式 VATS左肺下叶切除、淋巴结清扫术
病理结果 病灶A:浸润性腺癌,0.5cm,腺泡型90%、贴壁型10%
病灶B:浸润性腺癌,0.6cm,腺泡型80%、贴壁型20%
病灶C:浸润性腺癌,0.8cm,乳头型60%、贴壁型40%
基因检测 exon2 KRAS
手术理由 1、形态典型,早期肺癌可能大;
2、较大者位于左肺侧, 左侧三处结节均在左下叶,故优先处理
3、右肺结节较小,可先观察
4、患者有手术意愿,希望明确诊断;
故进行左肺下叶切除。
下一步治疗 有基因突变但无对应药物,术后定期复查

总结
1、多发磨玻璃结节现在非常常见,作为医生一定要在电脑上看薄层扫描,不要遗漏;作为患者到另一家医院就诊时,当医生要求重新做CT时要给予理解。
2、手术尽量一次性切除一侧肺内所有病变。
3、第一次发现不着急切,除非病灶有实性成分、个头较大(1cm以上)。
4、优先切除:病灶集中的肺叶,增大、变实的病灶,靠边的病灶,有把握找得着的病灶等。
5、发现病灶后找胸外科医生看,一家不行多找几家医院,但一定要找胸外科医生。

王冲 主治医师
首都医科大学附属胸科医院
微创诊疗中心
上一篇: 维生素该补吗?干货分享


