百姓聚焦
【世界心脏日】误把“心病”当胃病,壮年男人丧失劳动力

首都医科大学附属北京胸科医院心脏中心,一位36岁的男人和妻子小心翼翼走进张健医生门诊,男人说自己病了很多年,但是许多医院都拒绝了他,因为他强烈抗拒搭桥。
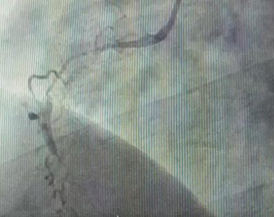
病情诊断明确,是右冠脉的CTO,就是慢性闭塞。

36岁正身强体壮的年纪,却丧失了劳动能力,不能工作,一家三口经济来源几乎被切断了。
好好的人,因为什么导致了现在的局面?张健医生一问,问出东西来了。
他一直以为自己是胃疼,一直当做慢性胃炎、慢性胃病治疗,效果不好,但是也没有引起重视,直到后来做造影明确了CTO病变,才知道这是心脏的病。

右冠脉从开口到中段,长长的一段都是病变,中段以后到远处完全闭塞了。闭塞段很长,闭塞时间也比较长。属于CTO病变中的较复杂的一种情况,所以说很多医疗机构建议他搭桥。但是病人自己很恐惧,结合病人意愿,虽然难,但心脏中心医生还是决定用内科介入术。

手术成功以后看到右冠脉非常大,分支很多很长,供血范围很大,对病人获益很大。开通后病人症状明显缓解,问题完美解决。
让这个壮年男子白白受了几年罪的祸首就是“胃疼”,可是,冠心病为什么会胃疼?
因为85%的人冠状动脉呈现右优势型,右冠优势右冠供应心脏左室的下壁,而我们下壁的区域跟胃非常接近,它俩是邻居,中间只有一个横膈之隔。
疼痛难以精确定位,是内脏疼痛的一个很重要的特点。
胃病往往引不起人的重视,十人九胃,都觉得没什么大不了的。“工作重要,挣钱重要,而胃病不重要”。
胃疼不一定都是胃病,当你认为是胃病,这个胃病又没有得到明确的诊断,疼痛呈发作性,疼一阵,从胃疼开始到胃疼结束,如果是在10分钟以内,那么有85%的概率是冠心病、心绞痛。
一定按照心绞痛心脏病高度重视,做深入深度全面而细致的检查和治疗,以免把心脏病当成慢性胃病,一方面效果不好,另一个方面耽误病情。


