科普文章
【肺癌诊疗先锋】第二十三期:一位老年肺癌患者的“靶向+免疫”实战记录
“大夫,我父亲只是咳嗽了两三个月,怎么会一下子变成晚期肺癌?”——这是2024年1月,北京胸科医院肿瘤中心一病区,老李的儿子迫不及待地问出的一句话。面对焦虑的家属,我和主任医师王敬慧把一份刚刚打印出来的基因检测报告递过去,一边告诉他:“您父亲的病虽然已经是IV期,但他有MET exon14跳跃突变,我们手里有治疗他这个病的‘精准武器’。”
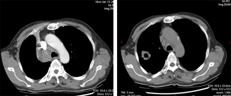
所谓的精准武器,就是当时国内新获批的可医保报销的高选择性MET抑制剂。1月12日,69岁的老李开始口服这种靶向药物——MET抑制剂。仅仅28天,咳嗽、痰血和喘憋就明显减轻。复查CT,原本被肿瘤压瘪的右上肺重新张开,连支气管镜下的“菜花”样新生物也缩小了近一半。老李高兴地说:“睡觉不再被憋醒,走路也能跟上儿子了。”

当然,靶向药不是“神药”。第二个月,老李出现了中度下肢水肿和轻度转氨酶升高。我们没有简单的停药,而是把靶向药降低了20%的剂量,同步加用利尿剂、护肝药和弹力袜,既缓解了副作用,又保证了药物的持续抗肿瘤作用。第三个月,为了进一步巩固疗效,我们给患者安排了纵隔淋巴结的放疗。在同步靶向+放疗的治疗下,老李的病灶继续缩小,痰血完全消失,体重还增加了3公斤。
故事到这里,很多病友会问:“靶向药是不是可以一直吃下去,肿瘤一直缩小,就能当慢性病了?”我们在与家属的交谈中坦言:“MET抑制剂一线治疗,约一半的患者大约在一年以内会出现耐药,我们要提前准备‘第二梯队’的治疗方案。”
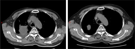
2024年7月,老李的右上肺原发灶增大,支气管再次狭窄。我们立刻给患者复查了气管镜。镜下没有新生物,只有黏膜充血水肿;穿刺也只看到变性坏死组织。影像进展、病理阴性,到底是耐药还是感染?我们启动了全院多学科讨论,最后决定:按耐药处理,执行“化疗+免疫”的二线方案。2个周期后,病灶再次显著缩小,疗效评估达到部分缓解。6周期后病灶继续缩小。老李的咳嗽、憋气症状完全消失,吃得好、睡得香,笑称:“我又回到了没得病的状态。”
至此,老李的总生存已突破24个月,目前仍在定期随访。他常对病房里新来的病友说:“别一听肿瘤就绝望,先把基因测清楚,再听大夫的安排,一步一步都有办法。”
我们根据老李的治疗经历总结了三句话,送给所有肺癌患者和家属:
一、非小细胞肺癌先做全面的基因检测, EGFR、ALK、ROS1、MET、RET、KRAS……一个都不能少,靶点找准,才能对肿瘤一剑封喉。
二、靶向药不是吃了就完事,副作用的管理、疗效评估、耐药监测,一样都不能马虎。
三、在抗肿瘤的路上,除了靶向治疗,还有化疗、放疗、免疫、抗体偶联药物、细胞生物治疗、参加临床试验等多种有效的治疗方法,有望使得肺癌慢病化。

靶向治疗前;靶向治疗1个月后

化疗+免疫治疗前;化疗+免疫治疗2周期后
从2024年1月的“痰中带血”到2026年新年的“全家团圆”,老李的治疗轨迹像一张清晰的路线图:精准检测→靶向先锋→局部放疗→化免联合。每一步,都离不开北京胸科医院肿瘤中心一病区团队的判断与调整;每一次转危为安,也让更多患者和家属看到:晚期肺癌,依然可以长期、高质量地带瘤生存。
愿每一位像老李这样的病友,都能在医生的专业护航下,把“不治之症”变成“可防可控”的长途旅程。


