工作动态
北京胸科医院超声医学科精准微创技术实现“一站式诊疗”
近日,北京胸科医院超声医学科成功为一名因乳腺肿块引发心理焦虑的年轻患者实施超声引导下精准穿刺抽液治疗。该技术以微创、无痛的优势,不仅快速解除病灶,更有效缓解患者心理负担,充分体现了医院“身心同治、以患者为中心”的服务理念。
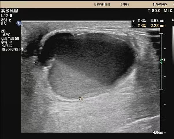
据悉,该患者三个月前自查发现左侧乳房有一质硬肿块,虽无红肿热痛等典型症状,但因担忧恶性病变而长期处于焦虑状态。就诊后,超声医学科主任王金萍迅速为其安排检查。超声影像显示:左乳3点位存在一大小约3.6×2.3厘米的混合回声包块。凭借丰富的临床经验,王金萍判断该病变为良性液性病灶,具备明确干预指征且无恶性风险。



在充分沟通并取得患者同意后,王金萍为患者实施了超声实时动态引导下的穿刺抽液术。术中精准定位病灶,顺利抽出白色糊状液体,并辅以生理盐水灌洗,使包块基本消失。整个过程患者无任何不适,术后即刻离院,情绪明显改善。后续病理结果证实:未见癌细胞,进一步打消了患者的顾虑。


此次成功诊疗依托于超声医学科创新建立的“精准检查—即时评估—必要时穿刺诊疗”快速响应模式。该模式将诊断与治疗无缝衔接,实现“一站式”闭环管理,在保障医疗安全的同时,显著提升诊疗效率与患者体验。
北京胸科医院超声医学科将持续推进精准微创技术在乳腺及其他浅表器官疾病中的应用,不断优化诊疗流程,让更多患者在家门口享受到高效、安心、人性化的医疗服务,切实推动优质医疗资源惠及广大群众。
知识科普
关于乳腺超声,您需要了解哪些
✅ 乳腺超声能干什么?
(1)发现“看不见”的病变:超越触诊的精准侦察
许多早期乳腺病变,尤其是深部或微小的病灶,可能无法通过自我触摸发现。乳腺超声就像一位高精度的“侦察兵”,能清晰显示乳腺内数毫米的微小结构,发现临床触诊阴性的早期肿瘤,为治疗赢得最宝贵的时机。
(2)鉴别“良恶”性质:破解肿物身份的密钥
当触摸到肿块时,最大的恐惧源于未知。乳腺超声通过分析肿物的形态、边缘、内部回声、血流信号等关键特征,能够有效鉴别囊肿(充满液体的无害囊泡)与实性肿物,并对实性肿物的良恶性进行初步风险分层。
(3)评估致密型乳腺:弥补钼靶检查的盲区
在钼靶X线检查中,致密的腺体组织会像“白雪”一样掩盖早期癌症的“雪花”,导致漏诊。超声不受腺体密度影响,能在此类乳房中提供更清晰的影像,是钼靶重要的、不可替代的补充。
(4)引导精准诊疗:微创介入的“导航系统”
当发现可疑病灶时,超声的价值从诊断延伸至治疗。它可以在实时动态引导下,对肿块进行精准穿刺活检,或对良性囊肿、脓肿进行抽吸治疗,避免了不必要的手术创伤。
✅ 如何正确理解乳腺超声报告上的“关键词”?
报告中最关键的是“BI-RADS分类”:
BI-RADS 1-2类:基本良性,常规体检即可;
BI-RADS 3类:大概率良性(恶性风险≤2%),但为了百分之百放心,医生会建议短期,如6个月复查;
BI-RADS 4类:可疑恶性(95%>恶性风险>2%),需提高警惕,下一步通常建议做穿刺活检明确结节性质;
BI-RADS 5类:高度怀疑恶性(恶性风险≥95%),应积极进行组织学诊断;
BI-RADS 6类:已经过病理证实为恶性。
专家介绍

王金萍 主任医师,博士/博士后,超声医学科主任,硕士生导师,从事超声医学临床、教学及科研工作近20年,擅长腹部、甲状腺乳腺淋巴结等浅表小器官、心血管、超声造影及介入超声等。
“三晋英才”支持计划青年优秀人才,主持国家级及省部级科研项目多项,发表各类学术论文多篇,已授权国家发明专利2项。荣获全国“中国超声医生科技新星”A类的最高资助;参加国际超声造影协会会议荣获一等奖;参加全国住院医师规范化培训超声医学医师带教演讲荣获二等奖等荣誉。
主要学术职务与社会兼职
中国研究型医院学会超声专委会青年 副主任委员
中国医促会分子诊断学委员会委员
海峡两岸医药卫生交流协会超声分会委员
中国工程学会超声分会青年委员
出诊时间及地点
门诊时间:周二、周四上午 8:00-11:30
门诊地点:5号楼2层超声医学科
预约方式
微信公众号预约:选择超声科门诊;
临床大夫自助预约;
院内自助机预约挂号;
超声科窗口预约挂号。







.jpg)
