科普文章
【肺癌诊疗先锋】第十九期:守护晚期肺癌患者四年抗癌路
2025年12月17日,在与晚期肺癌抗争的漫长征途中,74岁的陈老(化名)用亲身经历诠释了“希望”二字的分量。自2021年深秋确诊左肺下叶腺癌IVB期以来,在北京胸科医院肿瘤中心医护团队的全力救治与温情陪伴下,他不仅实现了病情的部分缓解,更在四年后面对疾病进展时,再次迎来新的治疗曙光。
2021年11月,来自河北的陈老因持续咳嗽、胸闷气短等症状入院,被确诊为晚期肺癌伴多发转移。面对这一严峻诊断,北京胸科医院肿瘤中心迅速组建多学科团队,为他量身定制个性化治疗方案,并成功将其纳入一项前沿临床研究。这不仅是医学上的突破尝试,更是对生命的一次郑重承诺。
然而,治疗之路充满挑战。靶向药物引发严重腹泻与口腔溃疡,化疗导致IV度骨髓抑制,一度危及生命;后续又出现食欲不振、吞咽困难等并发症。在这段艰难时光里,病房里的灯光始终温暖如初。副主任医师高远每日奔波于病房间,即使深夜仍细致查房,用专业与耐心传递信心;护士长冯月亮每天清晨一句“今天感觉怎么样?”,如同家人般给予慰藉;疫情期间,医护人员严格执行防控措施,虽曾令家属不解,却最终被理解为对生命的极致负责。
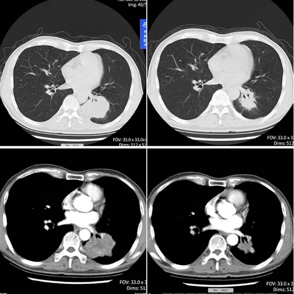
功夫不负有心人。经过两个周期治疗,陈老的肿瘤显著缩小,疗效评估达到“PR”(部分缓解),身体状况稳步改善。他在感谢信中深情写道:“是你们精神上的鼓励,让生命得到了延续……是你们用有力的双手托起生命的太阳!”

治疗前 ; 治疗2周期后
(2021-11-2) ; (2022-1-6)
抗癌之路并非一帆风顺。2025年6月,在接受长达42个月的一线治疗后,陈老病情再度进展。但这一次,他和家人不再恐惧。医疗团队迅速行动,为其完成穿刺活检,精准锁定新突变靶点。经院内多学科会诊(MDT),陈老顺利入组一项全新的I期临床研究,开启第二段希望征程。
这个故事没有戏剧化的奇迹,却真实记录了一群“提灯人”如何以科学为灯、以仁爱为芯,在黑暗中为患者点亮前行的光。北京胸科医院肿瘤团队用行动证明:即使面对最凶险的疾病,只要医患同心、科技与温情并重,生命的灯火就永不熄灭。
正如陈老所言:“生命之灯,为你长明。”而这盏灯,正由无数坚守岗位的医者,一棒接一棒,代代相传。


