科普文章
【胸科故事】一根细针揭开纵隔肿物的谜团——我的一次超声内镜穿刺手记
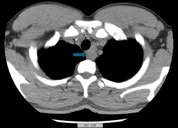
一个月前,我收到胸外科同事递来的一张内镜检查申请单:36岁男性,发现“纵隔肿物”。这类患者在我院并不少见,但每一次,我都如履薄冰。打开他的胸部CT,我仔细观察肿物与食管、气管的位置关系——距离够近,路径可行。我回复了一个字:“能。”——我们可以通过超声内镜穿刺活检,一探究竟。

胸部CT图片(纵隔肿物位于箭头所指位置)
操作安排在一个普通的工作日下午。按照习惯,我先做了一次普通胃镜,排除出血、穿孔等风险,确认食管壁完好无损。随后,护士帮我换上超声内镜,正式进入“探秘”环节。
在评估纵隔及食管外病变时,我通常会用到两种不同的超声内镜:
环扫超声内镜:
它就好比一台在能进入食管、胃腔内部工作的CT,可以像切西瓜一样,把“西瓜”一圈圈切成圆形薄片,从而对食管周围和纵隔结构做到“360°无死角”观察,帮助我锁定肿物的大致位置和范围。

环扫内镜图片

环扫超声内镜像把西瓜切成圆形薄片
扇扫超声内镜(穿刺专用):
在明确靶点后,我会换成扇扫超声内镜,就像把西瓜切成一个个扇形的西瓜块——典型的“吃西瓜”的形状。扇扫内镜发出的超声束,像一束可以“对准目标”的光,既能清楚显示肿物,又便于在实时引导下完成精准穿刺。
这两支内镜,是我完成这类操作的“两件法宝”,被我在工作中视若珍宝,一个都不能少。

扇扫内镜图片

扇扫超声内镜,像典型的“吃西瓜”的形状
很快,肿物清晰地出现在屏幕上。我接上穿刺针,开启彩色多普勒,反复确认路径上没有血管。深吸一口气,稳、准、狠——针尖缓缓穿过食管壁,直抵病灶。我在肿物内部来回抽吸,心里默默计数:76、77、78……直到第80次,才满意收手。当一条条红白相间的组织如“小蚯蚓”般从针芯挤出时,我悬着的心终于放下大半——标本量足、质量好,病理有望明确!
但为了万无一失,我说:“再来一针。”第二轮穿刺同样顺利。操作结束前,我再次检查穿刺点,确认无出血、无穿孔,才安心退镜。

穿刺针进入肿物内部穿刺图片
接下来的,进入了漫长而煎熬的等待期。
对患者来说,每一天都是煎熬;
对医生来说,每天也都在关注——心里想要的那个答案,只有病理科能给。
我想患者可能每天盯着天花板数日子,而我则几乎每天都会打开系统,输入他的名字,不厌其烦地刷新病理报告的进度。
第1天、第2天……
第7天、第8天……
终于,在一个并不起眼的下午,我再次点开报告系统时,病理结果出来了:
“甲状腺组织,呈滤泡样结构,不除外甲状腺滤泡性肿瘤”
这行字,着实让我愣了一下。
因为从影像和超声表现来看,这个纵隔肿物并不是典型的恶性样子:
·回声偏中高回声
·穿刺时组织质地柔软,较易刺透
带着疑惑,我重新翻看了患者的既往病史:
——果然,他在6年前曾因甲状腺癌手术治疗。
病理结果不仅为患者后续的治疗指明了方向,也给我们再次上了一课:临床上,任何一个“看似常见”的纵隔肿物,都有可能隐藏着不一样的故事。
这个病例让我印象非常深刻。
它不是一例“典型”的纵隔肿物,却恰恰因为不典型,更加考验影像判断、操作技术和临床思维的综合能力。作为经手这台手术的医生,我既感到庆幸,也觉得责任重大。
自开展超声内镜穿刺(EUS-FNA/FNB)以来,已经帮助不少患者:
✅ 揭开了多例纵隔、肺部占位的“真面目”;
✅ 明确了胰腺、腹腔占位的性质,为是否手术、如何手术提供依据;
✅ 为多例进展期食管癌进行精准分期,判断纵隔淋巴结是否转移,为制定个体化的放化疗及手术方案提供可靠依据。
对患者来说,一根细细的穿刺针,可能就是从“模糊诊断”走向“明确答案”的关键一步;
对我们来说,每一次穿刺,既是技术的实践,更是经验与教训的积累。
希望通过这样一个真实病例的分享,让更多人了解:超声内镜不仅仅是“做胃镜的一种”,它还是一把可以深入体内、精准取证的“微创利器”,为复杂疾病的诊断提供了更多可能。

术者做超声内镜图片
作者简介

孙舒仰,医学博士, 首都医科大学附属北京胸科医院消化内科主治医师。
通州区健康科普专家,丁香园签约作者。
临床擅长
擅长超声内镜检查及EUS-FNA、内镜粘膜下剥离术ESD术、胃肠道精查及早癌筛查、内镜下息肉切除术、消化道出血内镜下止血术等内镜检查及操作。
学术任职
北京医学会消化内镜学分会消化道早癌及消化内镜病理专业组委员
北京转化医学学会消化内镜分会委员


