科普文章
【肺癌诊疗先锋】第十八期:七年抗癌路——手术与药物接力 肺鳞癌患者重获新生
初冬的暖阳洒进老陈的家中,60岁的他正陪着孙子翻看家庭相册,照片里的人笑容爽朗,谁也想不到,这位刚顺利退休、安享天伦之乐的老人,曾与IIIB期肺鳞癌展开了长达七年的生死博弈。从确诊时的绝望到如今的安然生活,老陈的抗癌历程,见证了医学治疗的精准发力,更藏着亲情、医术与信念交织的生命力量。
时间拉回2018年年底,老陈被持续加重的咳嗽、胸痛和呼吸困难缠上。在家人的反复劝说下,他走进医院接受全面检查,而“IIIB期肺鳞癌”的诊断结果,如同一记重锤,击碎了这个普通家庭的平静。“拿到报告那天,家里没人敢说话,我甚至想过放弃治疗。”回忆起当初的场景,老陈仍难掩感慨。

为给老陈争取一线生机,妻子四处打听后,带着他找到了北京胸科医院肿瘤中心的王主任。这位有着数十年临床经验的专家,仔细研读了老陈的病历资料,结合影像学检查结果,制定了“新辅助化疗+手术切除+术后巩固治疗”的阶梯式治疗方案。“当时病灶范围较大,直接手术切除难度高,先通过化疗缩小病灶,才能为手术创造最佳条件。”王主任回忆道。
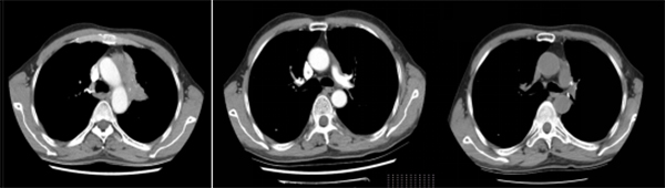
化疗带来的恶心、呕吐、脱发等副作用,让老陈备受折磨,但他从未中断治疗。“家人每天变着花样做我爱吃的,孩子们总说‘爸再坚持坚持’,我不能辜负他们。”老陈说。三个月后,复查结果传来喜讯:病灶体积缩小60%,达到手术指征。2019年春,老陈被推进手术室,家人在门外焦灼等待了5个小时,当主刀医生走出手术室说出“手术非常成功”时,妻子当场红了眼眶,紧紧攥着的手心全是汗水。

治疗前、手术前、手术后的胸部CT
然而,抗癌之路并未就此平坦。术后的化疗与免疫治疗阶段,老陈遭遇了严重的肾上腺皮质功能减退危象,突发意识丧失、四肢无力,一度生命垂危。“当时情况十分危急,我们立即启动紧急抢救预案,精准干预,稳住了患者病情。”参与抢救的医护人员回忆说。那段时间,王主任每天都到病房查看老陈的恢复情况,耐心鼓励他:“你的病灶控制得比同期患者好很多,坚持下去就有希望。”
在医护人员的精心救治和家人的悉心照料下,老陈逐渐闯过难关。为缓解心理压力,家人还带他加入了癌症患者互助小组。在那里,他结识了许多“战友”,大家分享治疗经验、互相加油打气。“听着病友们的抗癌故事,我才明白癌症不是绝症,积极心态比什么都重要。”从此,老陈每天坚持散步、打太极拳,饮食上严格遵循医嘱,身体状态日渐好转。
如今七年过去,老陈的复查报告始终显示各项指标正常。他不仅顺利从单位退休,还见证了孩子大学毕业、成家立业。“现在我每年都会和家人出去旅游,好好看看祖国的大好河山。”老陈笑着说,手里还翻到一张全家在外旅游的合影,照片里的他精神矍铄,眼里满是对生活的热爱。
“老陈的案例充分说明,晚期肺癌并非无药可医,规范的综合治疗、家人的情感支持以及患者自身的积极配合,是战胜病魔的关键。”王主任表示,随着医学技术的不断发展,新的治疗手段持续涌现,越来越多的肺癌患者正在实现长期生存。
夕阳西下,老陈带着孙子在小区里玩耍,笑声回荡在空气中。这场跨越七年的生命博弈,他用坚持与信念赢得了胜利,也为更多癌症患者带来了启示:只要不放弃希望,生命就会绽放新的光彩。


