科普文章
【肺癌诊疗先锋】第十四期:不是孤例!越来越多肺癌患者可以像他一样“活得好”
2025年9月的清晨,39岁的美发师小申(化名)像往常一样起床晨练,随后坐在梳妆台前为当天的工作做准备。这双手曾为无数人打造美丽,如今更支撑着他走过了8年肺癌抗争路——谁能想到,8年前他曾一度深陷“生存期不足2年”的绝望。
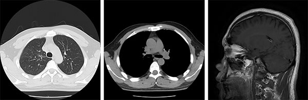
2016年5月,31岁的小申连续多日出现咳嗽、痰中带血症状,左侧后背还时常隐痛。起初他以为是熬夜工作劳累所致,直到症状持续加重,才在家人催促下前往当地医院就诊。胸部CT显示左肺上叶存在占位性病变,进一步检查后发现,癌灶已转移至右肺及纵隔淋巴结,头部MRI更提示脑部存在多发转移灶;支气管镜活检最终确诊为肺腺癌。“拿到病理报告,被医生告知所患疾病是晚期肺癌(Ⅳ期)伴脑转移的那天,我在医院走廊里坐了很久,反复问自己:为什么是我?”无烟酒习惯、无家族肿瘤病史的小申在医院走廊枯坐良久,始终无法接受自己已是晚期癌症的事实。
绝境逢生:
靶向治疗带来的“逆转时刻”
“你这个基因有突变点,我们正好有一个比较新的靶向药物试验,你可以来试试。”虽然老天为小申关上了一扇门,但坐在北京胸科医院的诊室里,他貌似又找到了一扇能够打开的窗。
好在基因检测显示他属于ALK阳性非小细胞肺癌——这类患者虽以年轻、脑转移发生率高为特点,曾是临床治疗难题,但也意味着有特异性靶向药物可供选择。“科学在进步,我愿意试试。”小申没有犹豫。从2016年12月开始,小申正式开始接受靶向治疗。
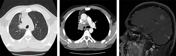
“刚开始服药时,心里总有些忐忑,怕效果不如预期。”服药第3天,咳嗽症状明显减轻;8周后复查,胸部CT显示肺部病灶显著缩小,阻塞支气管的肿瘤组织基本消失;70天,头颅核磁也提示脑转移灶体积缩小、部分微小病灶完全消失。小申的抗癌小本本上记录着他每一天的状况改善。就这样,在治疗的第三个月,小申就重新回到了工作岗位,气色越来越好,变得和常人无异。
治疗前(2016年12月)
治疗后(2025年06月)
8年坚守:
从“活下去”到“活得好”
从2016年12月到2025年9月,小申坚持靶向治疗已逾8年,无进展生存期(PFS)达105个月。治疗初期,他最大的愿望只是“活过3年,能看到孩子上小学”,如今孩子早已入学,他不仅从未因病情中断美发工作,2020年疫情期间还主动加入社区志愿服务,为居家隔离居民提供生活帮助。
对小申而言,每年的复查日都是“重生纪念日”。每次看到影像报告上“病灶稳定”的结论,他都会和家人一起庆祝“又多活了一年”。他格外感恩靶向治疗带来的长期生存机会,也铭记着北京胸科医院多学科团队的温暖陪伴。“医生每次复查都会详细询问生活与工作状况,影像科医师逐片对比分析病灶变化,护理团队则定期电话随访用药及饮食注意事项,这份“以人为本”的关怀让他始终充满信心。”小申说。
如今,小申常活跃在肺癌患者互助社群里,用自己的经历鼓励更多病友:“ALK阳性伴脑转移并不可怕,只要选对治疗方案、坚持规范治疗,长期带瘤生存完全有可能。”他更期待未来能有更多高效治疗手段问世,帮助更多肺癌患者重拾精彩人生。
医学温度:
“长生存”成为常态
小申的长期带瘤生存并非孤例。北京胸科医院专家介绍,第二代ALK抑制剂凭借独特分子结构,具备高效穿透血脑屏障的能力,不仅能有效控制已有的脑转移病灶,更可降低新发脑转移的风险。国际多中心Ⅲ期临床研究ALESIA数据显示,采用该类药物一线治疗ALK阳性肺癌伴脑转移患者,中位无进展生存期可达42.3个月,5年总生存率超过63.6%,疗效显著优于传统治疗方案。
“小申的案例正是精准医疗发展的生动缩影——ALK阳性肺癌正从曾经的‘致死性疾病’,逐步转变为像高血压、糖尿病一样可长期规范管理的‘慢性病’。”专家指出,随着精准诊断与靶向治疗技术的成熟,越来越多肺癌患者在实现长期生存的同时,能保持良好的生活质量,重新回归家庭、融入社会。
对小申而言,抗癌后的人生仍有无限可能。他计划考取美发高级资格证书,开设属于自己的工作室,继续用双手为他人打造美丽、重建自信。“癌症只是我人生路上的一段经历,不是全部。我想继续传递这份温暖,也想告诉更多人:只要不放弃,希望就一直都在。”
医学科普:
肺癌ALK阳性的那些事
肺癌ALK阳性即“间变性淋巴瘤激酶(ALK)融合基因阳性非小细胞肺癌”,约占非小细胞肺癌的5%。该类型具有以下临床特征:好发于年轻、非吸烟或轻度吸烟人群,疾病进展过程中脑转移风险高,超过50%患者会发生脑转移,曾是临床治疗难点。
因其对靶向治疗高度敏感,被称为肺癌“钻石突变”。而目前市面上的ALK抑制剂具备高效血脑屏障穿透能力,可有效控制脑部病灶并降低新发转移风险,显著延长患者生存期,5年总生存率显著提升,使“带瘤长期生存”成为可能,已逐步实现长期管理,向“慢性病”模式转变。
专家还提醒,积极参加临床研究有可能接受到最先进的治疗药物及治疗方案,目前北京胸科医院肿瘤中心已经开展和正在开展多项肺癌相关临床研究,助力肺癌患者得到最佳治疗方案及疗效。不断积累治疗成功、获得长生存的优秀病例。
上一篇: 【胸科科普】胸外科术前需要做哪些准备?
下一篇: 洗牙大揭秘:你的牙齿“洗澡”了吗?


