百姓聚焦
北京胸科医院胸外二科成功完成三例高难度纵隔肿瘤手术
近日,首都医科大学附属北京胸科医院胸外二科主任刘志东带领团队,成功完成了三例高难度纵隔肿瘤手术,为患者带来了新生。这三例手术因病灶位置深在、毗邻关键脏器,且伴随复杂的解剖结构侵犯,不仅操作难度堪称纵隔手术领域 “天花板”,术中及术后的风险防控与管理更是对医疗团队综合实力的极致考验。刘志东团队凭借精湛的技术、多学科协作,成功突破手术禁区,再次展现了我院在纵隔疑难复杂手术治疗领域的领先水平。
案例一:30 岁青年命悬一线,ECMO 护航拆除 “定时炸弹”
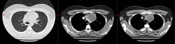
30 岁患者小陈因胸痛查出后纵隔 5×4 厘米肿物,辗转多家医院均束手无策。这个 “定时炸弹” 长在气管隆突下方、食管前方,不仅压迫左主支气管完全闭塞、左肺无法张开,同时肿物被左肺动脉主干和主动脉紧紧 “包裹”,常规左侧胸腔入路根本无法触及肿物,甚至术中左侧单肺通气都做不到——这意味着术中的氧合维持成了最先面对的巨大挑战。

刘志东团队联合多学科专家反复研判,最终决定在 ECMO(体外膜肺氧合,俗称 “人工肺”)支持下从右侧胸腔入路行肿物切除手术。2025 年 6 月 30 日,手术团队在 ECMO 护航下精准操作,避开层层大血管,成功完整切除纵隔肿物。术后患者在手术室顺利撤离 ECMO,经过科学治疗与护理,目前已康复出院。
案例二:巨大肿瘤侵占胸腔,顶尖技术精准“拆弹”
69 岁患者老刘右前中纵隔有 15×12 厘米的巨大肿物,相当于一个柚子大小,肿物已经把右侧胸腔占去大半,压迫气管和大血管都变窄闭塞。这个 “庞然大物” 扎根 4 年,老刘在外院经历4次穿刺都未能明确诊断,现在肿物与周围组织已经紧紧粘连在一起,手术稍有不慎就可能损伤重要器官。
刘志东团队经过精密评估,决定采用胸腔镜辅助技术实施手术。2025 年 7 月 1 日,刘志东在胸腔镜辅助下小心翼翼分离粘连,精准切除肿物,同时对受侵犯的右肺上叶部分组织进行处理。患者术后很快拔除气管插管,目前已顺利康复出院。

案例三:年轻患者化疗无效,多器官联合手术闯难关
23 岁广东小伙小伟半年前出现胸闷、胸痛症状,在当地检查发现了前纵隔肿物,外院穿刺怀疑是恶性程度较高的卵黄囊瘤,但经过 7 次化疗却效果不佳,多家医院都因手术风险较大不敢接手。检查显示,这个 7×6 厘米的肿物紧紧 “扒” 着主动脉弓、肺动脉干等重要大血管,甚至可能侵犯了心包和左上肺,如同在心脏和大血管旁 “埋雷”。
刘志东团队为他制定了 “组合拳” 方案,在2025 年 7 月 3 日,通过正中开胸手术,完整切除纵隔肿物和胸腺,并精准处理了受侵犯的左无名静脉、左膈神经和左上肺部分组织,同时清扫了周围淋巴结。术后患者顺利脱机拔管,目前在普通病房恢复良好。

多学科协作,突破手术禁区
这三例手术堪称纵隔肿瘤治疗的 “极限挑战”:有的位置刁钻、被大血管包绕,有的体积巨大、压迫关键器官,有的恶性程度高、侵犯多脏器。刘志东团队之所以能成功攻克,靠的是多学科协作的 “集体智慧”—— 术前联合呼吸、麻醉、ICU 、气管镜、肿瘤内科等多科室评估风险,术中凭借精准操作避开致命陷阱,术后依靠精细化管理降低并发症。这一系列高难度手术的成功完成,不仅为患者解除了病痛,也为纵隔肿瘤治疗积累了宝贵经验,进一步巩固了北京胸科医院在该领域的领先地位。
科普小贴士
纵隔肿瘤早发现、早治疗是关键
纵隔位于胸腔中部,夹在两肺之间,里面有心脏、大血管、气管、食管等重要器官,这里长的肿瘤就叫纵隔肿瘤。
1、症状隐蔽,易被忽视:
多数纵隔肿瘤早期没有明显症状,像小陈这样因胸痛发现的,或老刘这样长到巨大才被察觉的情况并不少见。部分患者可能出现胸闷、咳嗽、吞咽困难等,若肿瘤压迫神经,还可能出现声音嘶哑、肢体麻木。
2、诊断靠影像,治疗看“个性”:
胸部 CT、磁共振等影像检查是发现纵隔肿瘤的主要手段,怀疑恶性时可能需要穿刺活检明确性质。治疗以手术切除为主,对于恶性肿瘤,可能还需要结合化疗、放疗等综合治疗。像小伟这样对化疗不敏感的患者,精准手术就成了关键。
3、别因“难” 放弃,专业团队是底气:
纵隔肿瘤位置特殊,手术难度确实较高,但随着医学技术进步,像北京胸科医院这样的专业团队已能通过多学科协作、精湛的技术、生命支持设备等手段,为复杂病例提供安全有效的治疗。早发现、选对团队,很多 “疑难杂症” 都能迎刃而解。
专家团队介绍
01 团队介绍——胸外二科

首都医科大学附属北京胸科医院胸外二科创建于1955年,由我国胸外科先驱辛育龄等专家奠基,现为集临床、科研、教学于一体的现代化胸外科中心。科室在国内率先开展单孔肺癌根治等微创术式,擅长肺癌、纵隔肿瘤、食管癌等复杂手术,建立MDT平台,年均完成疑难手术千余例。承担国家"863计划"等科研目,近五年转化临床技术10余项。汇聚了一批优秀的医学专家,刘志东主任医师,他在胸腔镜微创外科手术技术及胸部疑难复杂重症疾病的外科手术治疗方面造诣深厚;周世杰主任医师在肺癌、纵隔肿瘤、食管癌及肺部良性疾病的诊断和外科治疗上经验丰富;还有于大平、李云松、黄少君等多位优秀医师,他们专业能力强、临床经验丰富,共同为患者的健康保驾护航。
02 专家介绍——刘志东

刘志东,主任医师,教授,博士生导师,胸外科学科带头人。2009年完成国内首例完全胸腔镜袖式肺叶切除术,首创体表结核无创靶向治疗技术。主持国家级课题10余项,发表SCI论文20余篇,获专利10余项,培养博/硕士20余名。
擅长领域:从事胸外科工作30年,致力于胸部肿瘤包括肺癌、纵隔肿瘤、食管癌、肺良性肿瘤及难治性肺结核的诊断和外科诊疗工作,尤其擅长胸腔镜微创外科手术以及胸部疑难复杂疾病的手术治疗,已具有相当丰富的临床经验。



