百姓聚焦
3D打印零切迹融合器:颈椎病的“隐形修复术”
颈椎病是现代人常见的健康问题,长期低头、姿势不良等因素导致颈椎间盘突出、骨质增生,进而压迫神经或脊髓,引发疼痛、麻木甚至肢体无力。传统手术虽能缓解症状,但术后常伴随吞咽不适、异物感等问题。近日,首都医科大学附属北京胸科医院骨科主任贺永雄带领团队成功完成我院首例3D打印零切迹融合器手术(图1),为颈椎病患者提供了更安全、更舒适的解决方案。

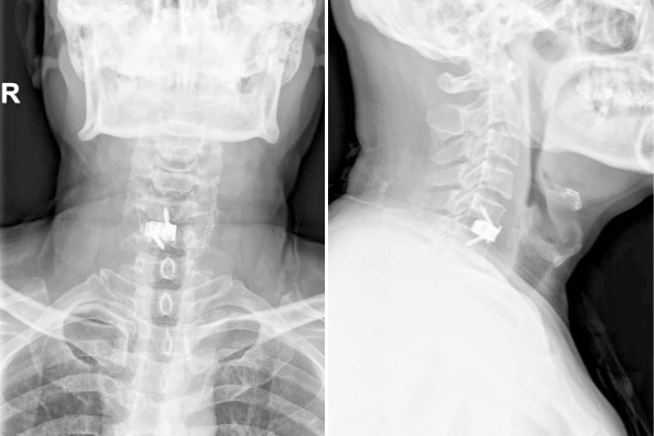
图1 单节段3D打印零切迹融合器置入术后影像
56岁的王先生因神经根型颈椎病长期饱受颈肩疼痛和右手拇指麻木的困扰,保守治疗无效后,接受了3D打印零切迹融合器手术。术后第一天,他的疼痛和麻木症状明显缓解,术后第三天便顺利出院。王先生表示:“手术效果立竿见影,恢复速度远超预期!”一周后,贺永雄团队又为一名两节段颈椎病患者成功实施手术(图2),术后患者颈肩痛和右前臂、手指麻木症状明显改善。

图2 双节段3D打印零切迹融合器置入术后影像
什么是3D打印零切迹融合器?
传统颈椎手术需植入椎间融合器并辅以钛板螺钉固定,术后患者常面临吞咽困难、异物感等问题。而3D打印零切迹融合器采用钛合金材料,具有良好的生物相容性和机械性能,同时设计上融合了多孔结构和自锁机制。通过精准设计和先进制造技术,实现了“隐形修复”:植入物与颈椎表面平齐,无需额外钛板固定,避免了传统手术对食管和气管的压迫,显著降低了术后并发症风险。
3D打印零切迹融合器的“隐形实力”
1. 仿生多孔结构:内部设计微孔,既为骨细胞生长提供“立体脚手架”,又能促进营养交换,加速骨融合。
2. 零切迹的“隐形”优势:超薄一体化设计,避免传统钛板对食管、气管的压迫,术后患者几乎感觉不到异物存在。
3. 材料升级:采用钛合金材料,兼具强度与弹性模量,避免传统金属植入物导致的“应力遮挡”效应。
临床应用更微创、更快速、更舒适
1. 手术更精简:无需安装钛板,减少手术步骤和创伤,术中出血量更少。
2. 术后恢复快:患者术后1-2天即可下床活动,吞咽不适发生率显著降低,生活质量大幅提升。
3. 骨融合率高:多孔结构促进自体骨长入,临床数据显示,3D打印融合器的骨融合率可达95%以上,远期稳定性更优。
4. 并发症少:规避了钛板相关并发症(如食管瘘),尤其适合老年或骨质疏松患者。
贺永雄表示,3D打印零切迹融合器融合了精准医学与微创理念,既解除了颈椎病的“压迫危机”,又让手术修复“隐形无痕”。这一技术不仅是医疗器械的革新,更体现了以患者为中心的医疗追求——用最小的干预,实现最大的功能重建。
此次首例3D打印零切迹融合器手术的成功开展,填补了我院在该领域的技术空白,为颈椎病患者带来了新的治疗选择和希望。未来,我院将继续探索前沿技术,推动微创治疗理念惠及更多患者,助力健康生活新篇章!

首都医科大学附属北京胸科医院骨科主任兼学科带头人,主任医师,教授,博士研究生导师,医学博士,留美学者,北京市带头人才引进专家,国家自然基金评审专家。
擅长:
1. 各类脊柱疾患的手术治疗如:脊柱结核,布病、化脓性脊柱炎等脊柱感染性疾患,脊柱肿瘤尤其是转移性肿瘤的粒子植入、射频、微波消融、冷冻、骨水泥高温灭活等微创治疗,颈椎病,腰椎间盘突出,腰椎滑脱,椎管狭窄,后纵韧带骨化症,各类脊柱骨折,尤其是寰枢椎骨折脱位和老年骨质疏松骨折的微创治疗以及脊柱畸形等疾患。
2. 利用现代医学肌肉平衡、组织代谢和神经支配理论,调整肌肉平衡、代谢平衡、营养平衡、生理平衡,对病变肌肉筋膜进行松解治疗肌肉相关颈、肩、腰、腿痛如:颈椎病以及颈椎病引起的顽固性头晕、头痛、失眠,焦虑,富贵包,肩周炎,腰椎小关节紊乱,慢性腰痛,骨性关节炎,脊柱侧凸,强直性脊柱炎,肌性斜颈,髋关节滑膜炎,肱骨外髁炎,拇外翻,足跟痛,狭窄性腱鞘炎,颞颌关节炎等。
3. 利用细胞生物治疗膝、肩、肘、踝等关节退行性骨关节病,脊髓损伤,骨不连,褥疮,创面感染,耐药性骨与关节感染等。


