百姓聚焦
【医生笔记】No.1 老咳嗽元凶竟是小瘘口,胃镜下解决呼吸道大问题
初识患者
初次见到李大娘是一次普普通通的会诊,我简单浏览了一下呼吸科的会诊申请:老年女性,反复发热伴咳嗽、咳痰数十年,每年多次因肺部感染需要进行抗感染治疗。这次因为伴随反流症状,且存在结肠癌家族史,呼吸科给她申请了胃肠镜检查。“也许只是评估一下胃肠镜检查风险吧。”我这么猜测。
李大娘是呼吸科的常客了,每隔几个月就要在当地医院住一次院,在病房里熟悉得像回家一样。她说自己年轻时候就有爱咳嗽的毛病,尤其是这几年,三不五时就要发烧、肺炎,CT呀、肺功能啊也不知道做了多少次,就是查不到病根,对李大娘的日常生活造成了很大影响,也花了不少钱四处求医。这次专程从外地来到北京胸科医院,就是想搞明白到底是什么原因。
除了肺的老毛病,我发现李大娘有个自己没在意的小问题,就是吃东西容易呛,呛的时候会咳嗽、喘息好一阵。作为消化科医生,这个小问题引起了我的警惕,“什么时候开始的?吃什么东西容易呛?每次呛完之后会不会发烧?以前有没有查过胃镜?”我追问到。李大娘有些记不清了,但李大娘的女儿对母亲的病史非常了解,她补充到,大约是8、9年前开始的,母亲频繁地出现呛咳,尤其是喝水、喝粥这些流食的时候,吃馒头、米饭这些固体食物反倒好些,每次呛咳之后都容易犯肺炎的毛病,抗生素治疗几天又能好起来。而唯一的一次胃镜检查大约10年以前了,报告已经无法找到,但是她记得医生说过,母亲食管上有个“囊”,是天生的,不用管它。
“叮——”的一下,我心里瞬间有了一个可能的答案。
治疗过程
回到呼吸科医生办公室,我进一步和李大娘的主管医师讨论。呼吸科认为从李大娘的临床特征和既往影像学表现来看,需要完善胸部增强CT、肺功能和支气管镜检查,进一步明确是否存在先天性肺隔离症、哮喘等疾病;同时,他们也发现了患者呛咳与肺部感染密切相关,需要除外胃食管反流所致的食管外症状。此时,我向呼吸科医生说明了我的想法:暂时禁食水,积极控制感染,先复查胃镜。
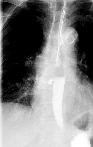
在呼吸科的积极治疗下,李大娘的肺部感染很快得到控制,消化内镜中心第一时间为李大娘安排了胃镜检查,在内镜进入食管中下段的一瞬间,李大娘多年咳嗽的原因就立刻“跃然镜上”了。在食管距门齿32公分的位置,可以看到一处食管憩室,也就是李大娘女儿说的“囊”,就像一个气球的薄弱部位,当充气或充水的时候,憩室就会向外凸起。而在这个憩室的顶端,可以看到一处约2mm的圆形小瘘口,所以我推测,在上次胃镜检查后的某一次用力咳嗽或进食硬食的瞬间,薄弱的憩室壁破裂,形成了食管瘘,这个瘘口可能通向支气管,进食后食物通过瘘口进入呼吸道,造成呛咳、肺部感染。由于瘘口较小,成型的食物不易通过,而水或流食则容易顺着瘘口流入支气管。

为了进一步验证我们的猜想,我们对李大娘进行了碘造影剂的上消化道造影检查,可见造影剂通过食管胸下段向右侧流入纵膈内,最终流入右下叶支气管内,患者出现明显呛咳,这让我猜想的食管下段纵膈、气管瘘诊断明确了。此后的增强CT检查也证实了这一点,至此,困扰了李大娘十余年的“怪病”终于找到了原因。李大娘万万没想到,查了这么多年的肺病,病根竟在食管上。

治疗效果
诊断明确了,治疗却谈不上容易。“食管气管瘘无论对于胸外科,还是消化内科,都是难以处理的顽疾,尤其是李大娘的瘘口位于薄弱的憩室内,已形成多年,瘘口表面早已形成光滑瘢痕,难以愈合,加之瘘口部位血管丰富,出血风险较高。内镜下治疗的风险高,存在多次封堵、治疗不成功的可能。”消化内科主任何玉琦向李大娘的儿女交代了疾病的成因、内镜治疗的风险,并在他们坚定地支持和信任下,尝试内镜下治疗。
2024年4月7日,李大娘的治疗开始了。我们用氩离子凝固术破坏瘘口周围瘢痕组织,为黏膜愈合提供条件;然后用内镜吻合夹将瘘口处黏膜完全封闭;最后置入空肠营养管,保证黏膜愈合期间的营养需求。整个治疗过程快速、微创,几乎没有出现出血。

医生叮嘱
术后,我们告诉李大娘和她的家属,因为要暂时经过空肠营养管进食,务必保证营养摄入充足,为瘘口愈合提供基础,同时口服抑酸、保护黏膜等药物,避免胃酸反流刺激创面、促进愈合,并嘱咐他们1个月后来到消化内镜中心复查愈合情况。
一个月后,李大娘如期而至,面色红润,步伐有力,看起来家属的肠内营养支持做得十分到位。复查胃镜,我们欣喜地发现,原瘘口部位呈瘢痕增生改变,取掉吻合夹后,没有再看到瘘口。仅仅一次治疗,一个月的时间,瘘口已经基本愈合了。我们叮嘱她,还要继续口服药物一段时间,仍然要避免过硬的食物,务必定期复查胃镜。

医生感悟
缠绵病榻多年,病情反复发作,病因难以查明,李大娘是不幸的;一朝发现元凶,单次治疗达到治愈,李大娘又是幸运的。这份幸运,得益于患者家属的坚定选择与信任,得益于患者良好的依从性,得益于呼吸科医生缜密细致的鉴别诊断,得益于消化内科内镜技术的支持,更得益于北京胸科医院一直以来多学科协作的优良传统。在医学专业方向精细化分类的今天,有时候单科诊疗视野可能相对局限,以患者为中心、多学科协作的模式为患者提供了更多的获益。

本篇作者

王思诣,首都医科大学附属北京胸科医院消化内科医师,内科学硕士,毕业于首都医科大学附属北京友谊医院。主要从事消化内科常见病的诊治、胃肠镜检查等。


