科普文章
【胸科故事】18厘米4公斤巨大纵隔肿瘤切除!北京胸科医院胸外科刘志东教授团队完成高难度手术
“谢谢你们,我现在的呼吸终于通畅了!”患者笑逐颜开,因为“塞”在胸腔内的“巨石”终于落地了。
近日,首都医科大学附属北京胸科医院胸外二科刘志东主任团队成功完成两例极具挑战性的纵隔巨大肿物切除手术。这两例手术的挑战在于两位患者纵隔占位巨大,压迫贴近肺组织,肿物与周围组织粘连紧密,同时肿物包绕胸腔内大血管,极易在分离肿物过程中造成大出血可能。
患者一:董XX,男性,44岁,20多年前因胸膜炎在当地医院检查时发现前纵隔3厘米肿物,当时未做特殊处理。随着时间推移,患者症状逐渐加重,出现活动后胸闷、气短,伴有咳嗽、痰中带血等症状。患者二:孙XX,男性,37岁,因胸闷行胸部CT检查时发现胸腔巨大肿物,近期出现明显胸闷、憋气症状,活动耐量下降等表现。两位患者多次就诊于多家医院,均被告知“手术存在较大困难,风险较高”,经过辗转就医,来到我院胸外二科刘志东主任纵隔疑难手术知名专家门诊,经刘主任评估后收治入院,获得难得的手术治疗机会。
患者入住胸外科后,科室医护团队高度重视,一方面积极与患者家属沟通,告知病情的严重性及手术风险,征得患者本人及家属的同意;另一方面反复阅片,制定详细的手术方案,同时积极与麻醉科及手术室团队进行术前讨论,制定麻醉方案及术中可能出现大出血的抢救预案和措施。在各方面准备充分完备后,10月10日和10月15日,按照预定的手术方案,两例手术顺利开始,经过仔细地游离,肿瘤周围的大血管一点点被分离出来,并将肿瘤的滋养血管逐一结扎,随着手术有条不紊地进行,肿瘤也在一点点地显露出它的“庐山真面目”……由于术前准备充分,判断准确,整个手术进行得十分顺利,历时3小时的手术顺利完成,患者董XX完整切除右前纵隔巨大肿物,最长径约18㎝;患者孙XX,右侧纵隔巨大肿物,最长径约16㎝;在成功完整切除纵隔肿物的同时,尽最大可能保留了患者的肺组织。术后,两位患者恢复良好,在ICU重症监护病房密切监护1天后转回普通病房。“若检查出现可疑病灶,一定要密切随访、监测,结合专科医生的意见,避免病情过快进展,延误治疗时机。”刘志东主任提醒。

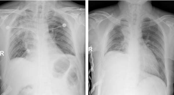
左:患者董xx 术后查房床旁胸片
右:患者孙xx 术后复查床旁胸片
纵隔位于两侧肺之间,以胸骨和胸椎为其前后界,内有许多重要器官,包括大血管、气管、食管、神经等组织。由于先天发育过程异常或后天性囊肿或肿瘤形成,这些组织中的异常增生便形成了纵隔肿瘤。纵隔肿瘤是胸外科手术的一块硬骨头,肿瘤容易累及重要的大血管和神经,手术难度很大,大出血的风险很高。这两例纵隔巨大肿物切除成功的手术不仅体现了北京胸科医院在胸部肿瘤治疗领域的专业水平,也彰显了医院在处理复杂、危重病例方面的实力,体现了学科团队的责任和担当,体现了医生们的高效协作和高超技术,体现了急病人所急,解病人所困,全心全意为人民服务的宗旨和精神。
北京胸科医院胸外科拥有丰富的资源和先进的技术,在肺癌的规范化个体治疗、食管癌的多学科综合治疗、纵隔肿瘤的外科治疗等领域拥有显著优势。胸外二科在刘志东主任的带领下,建立了“肺和纵隔肿瘤”多学科综合治疗团队,专注于胸部肿瘤的微创治疗及复杂胸部手术的专业治疗,致力于提供个体化诊疗方案,并通过院内及院外多维度MDT协作平台,进一步提升了各类胸部疾病的个体化诊疗水平。未来,胸外二科将继续秉承“以患者为中心”的服务理念,不断探索和创新,为更多患者提供优质、高效的医疗服务。
科普时间
Q纵隔肿瘤是什么?
A纵隔肿瘤是发生在胸腔中部,位于两侧肺之间,以胸骨和胸椎为前后界区域的肿瘤。这个区域包含了许多重要器官,如心脏、大血管、气管、食管、神经等。
Q纵隔肿瘤有哪些类型?
A纵隔肿瘤可以是良性或恶性,包括多种类型:如胸腺瘤、胸内甲状腺肿、支气管囊肿、皮样囊肿、畸胎瘤、淋巴肉瘤、恶性淋巴瘤、心包囊肿、脂肪瘤、神经源性肿瘤、食管囊肿等。
Q纵隔肿瘤有哪些典型症状?
A纵隔肿瘤种类繁多,病因不明,可能与胚胎细胞发育异常有关,而继发性纵隔肿瘤则可能继发于肺部或食管等其他部位的肿瘤。纵隔肿瘤的症状取决于肿瘤的大小、位置和是否压迫周围结构。许多良性纵隔肿瘤可能没有症状,偶然在体检时被发现。当肿瘤增大或为恶性时,可能出现胸痛、胸闷、呼吸困难、咳嗽、吞咽困难等症状。
Q纵隔肿瘤如何治疗?
A治疗纵隔肿瘤的方法取决于肿瘤的类型、大小、位置以及患者的总体健康状况。常见的治疗方法包括手术切除、放疗和化疗。对于良性肿瘤,如果无症状且不影响生活质量,医生可能会选择观察等待。但在许多情况下,手术切除是首选治疗方法,尤其是当肿瘤引起症状或有可能恶变时。
Q纵隔肿瘤预后情况如何?
A纵隔肿瘤的预后取决于肿瘤的类型和治疗的及时性。良性肿瘤通常预后良好,而恶性肿瘤的预后则取决于肿瘤的恶性程度和治疗效果。定期体检和早期发现对于改善预后至关重要。
上一篇: 【胸科科普】胸腔引流瓶—小瓶子大作用


