百姓聚焦
【让肺部更健康】从垂死边缘到喜提治愈,合理方案挽救重症结核病患者
初识患者

即便从医这么久,在某些情况下,还是会被某个病人的某个眼神、某份喃喃、某声感谢而感动。
这份感动可以是悲伤、同情,亦可以是敬仰、尊重。在医生这个行业,尽管面对了很多负面的放弃和背叛,但仍然可以带来满满的阳光,让自己身上的小宇宙瞬间爆棚。
今天故事的主人公小伍(化名)是我管的一名小患者,血行播散性结核合并颅内结核,是结核病中最重的一种,病死率极高。
小姑娘间断咳嗽了1年,住院的1个月前小伍忽然出现了高热伴有意识不清,被爸爸紧急送进了医院,胸部CT发现了肺部多发散在的粟粒样结节病灶,并且更为严重的是小伍的脑脊液中也发现了结核菌。
因为病情太重,小伍家庭负担太大,小伍爸爸问我还有没有什么方法能获得医疗以外的帮助。
我义无反顾的发起了筹款,不为别的,只为当初在他们债台高筑、极尽困难的时候,她的爸爸毫不犹豫地要求我们使用最好的药物。大家都会为自己的亲人倾尽全部,但在经济条件无法保证最基本的生活要求时,能义无反顾、毫不犹豫地做出这样一个决定,并不是一件很容易和普通的事情。
治疗过程
在治疗前,小姑娘持续高热、意识不清,胸部CT可以见到双肺多发散在粟粒样结节,腰穿抽取脑脊液中的细胞数和蛋白水平高、单核细胞比例90%以上、糖和氯化物低,头增强核磁可以看到脑脊液和部分脑实质有强化影,这是典型的血行播散性结核合并颅内结核的表现。
血行播散性结核是指结核菌进入了人体血液系统中,所以菌可以随着血液运输到身体各个部位,其中颅内结核是最重的一种,治疗过程最曲折漫长,病死率也最高。颅内结核是指脑膜或脑实质被结核菌感染,可以出现高热、意识不清、头痛、恶心呕吐、甚至并发肢体活动障碍等器官功能性障碍。
为了观察病情进展和治疗效果,在诊断和治疗的初期需要每周做一到两次腰穿,小姑娘住院吃了不少苦,她的爸爸每天笑嘻嘻的对着小姑娘聊天,微笑着谢谢我们,却转过身不让我们看见他的绝望和眼泪。
颅内结核的治疗药物选择也不同于普通的肺结核,在物质进入大脑前需要穿过一个特殊的“门”——血脑屏障——它是保护大脑、防止物质随便进入颅内的屏障,所以在选择抗结核药物时也不同于普通的肺结核,要尽量选择更容易透过血脑屏障的药物。
通常情况下,因为血脑屏障的保护,脑脊液中很难找到结核菌,但小伍脑脊液中到找到了大量结核菌,这是一个及其危险的信号,意味着小伍是病死率极高的颅内结核中程度最重的。
经过团队讨论后,我们给小伍制定了充分兼顾到颅内病灶的抗结核方案,减轻颅内水肿和降低结核中毒症状,在强有力抗结核方案保驾护航的情况下,同时加用了糖皮质激素和脱水降颅压药物。
治疗效果
上天总是眷顾善良的人,几次在鬼门关打转,小姑娘还是闯过来了,意识逐渐恢复,体温渐渐降至正常,脑脊液指标也在逐渐好转。
虽然激素吹胖了她的身体和脸庞,但胖乎乎的小脸笑起来还是很好看,做治疗再也不害怕,也会乐呵呵的回答说,“最喜欢的人是爸爸”。每次查房查到她时,对他们一家人也是满满的敬重,尽管贫穷,但仍觉得他们一家人是强大的,因为他们乐观,团结,相爱。
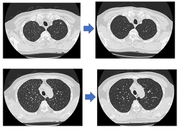
治疗的半年后,小姑娘和爸爸来复诊(图1),我终于看到,小姑娘不再使用激素的瓜子脸竟然这么清秀好看,不再有发热和咳嗽,吃得多睡得也香,身体的强壮和精神状态的好转让她变了一个人。爸爸还是一如既往地平静和温暖,微笑地对我说“都挺好都挺好”。

(图1 治疗前后患者胸部CT,经过治疗后,双肺多发粟粒样结节数量和面积均有明显减少)
患者日常生活中的注意事项

血行播散性结核
1)需要每3个月定期复查胸部CT,了解肺部病灶的发展或吸收情况;
2)同时,颅内结核在治疗平稳的恢复期,也要定期复查腰穿,了解脑脊液指标是否持续好转。
我们叮嘱小伍在回到当地医疗机构复诊过程中,要每月复查腰穿。另外,因为小伍方案比较强,药物数量较多,要每月复查血常规和肝肾功能,及时发现药物可能导致的不良反应。年轻的身体是抵抗药物不良反应的最好武器,小伍整个过程非常稳定,没有发生我们担心的不良反应。
小姑娘也一天一天的好转,我相信上天终究会眷顾善良的人,所以我也相信帮助他们一家人的好心人们,也会幸福平安,永远。
医生感悟

血行播散性结核是结核病中较重的一种类型,结核菌可以随着血药进入身体的各个器官,其中进入到颅内是最重的一种类型,病人可以出现高热、意识不清、恶心呕吐、头晕头痛、肢体活动障碍等症状,是结核病中最重、治疗效果最差的一种。
在诊断时,如果结核病患者合并了头痛、恶心呕吐、意识不清等症状,要马上考虑到是否合并了颅内感染,及时进行头核磁、腰穿等检测,及时发现颅内病灶并及时加用治疗方案。在治疗药物的选择上,也要专门尽量多地包含更容易透过血脑屏障的药物,同时根据颅压水平和脑脊液指标,选择加用脱水降颅压的药物和糖皮质激素。在治疗过程中,除了定期监测头核磁、胸部CT、腰穿,观察治疗效果,还因治疗方案较强,治疗过程中也要注意药物不良反应,需要至少每月检查血常规、肝肾功能电解质等指标。治疗药物的种类也更多,保证方案足够强。治疗疗程也相较普通肺结核更长,需要至少一年半以上甚至更长的疗程。
像小伍这样脑脊液中找到结核菌的患者,属于颅内结核中病情更重的,但小伍是幸运的,在有专业团队保驾护航的情况下,血行播散性结核合并颅内结核患者也可以有很好的治疗效果。


