特色技术及简介
结核性胸膜炎的中医辅助治疗
结核性胸膜炎是感染结核分枝杆菌引起的胸膜感染性疾病,发病机制目前普遍认为是结核分枝杆菌及其自溶产物、代谢产物刺激机体产生免疫反应而引起的胸膜炎症,2018年全国结核性胸膜炎发病率为3.29/10万,新发病例达到4.6万人,从各年龄段发病比例来看,以青年、中年劳动力人口为主。

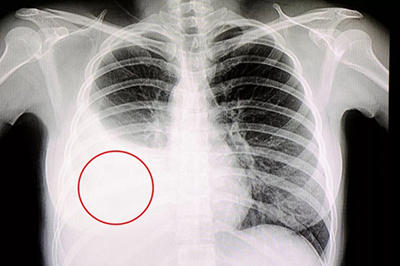
右侧大量胸腔积液X线胸片

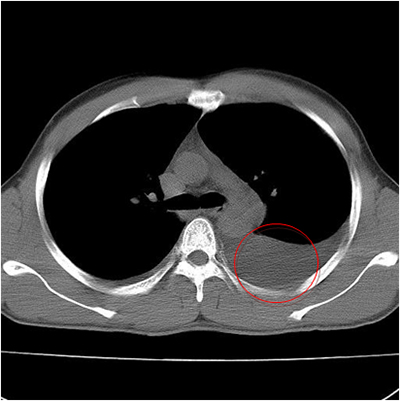
左侧胸腔积液的CT图像

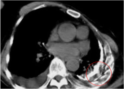
右侧胸膜增厚,左侧胸膜增厚钙化,左侧胸腔塌陷,心脏血管左移,肺功能受损
在系统抗结核治疗基础上配合胸腔穿刺抽取胸腔积液是目前治疗结核性胸膜炎的常规治疗方法,但是部分患者胸腔积液吸收不良出现胸膜增厚、胸膜粘连、肺组织局部膨胀不全,从而导致肺功能受损、并且可伴有不同程度的胸痛,影响患者的预后生活质量和身体素质,尤其是对于青、中年这一主要的劳动力群体。据报道在所有结核性胸膜炎患者中,有20%-50%可发生2-10mm的残余胸膜增厚,并且在发病后5-7天即可形成,临床预后不良率可达15.2%,严重者可致胸廓变形塌陷、肺不张。
我院中医科临床数据分析显示,结核性胸膜炎患者诊断早期,中医辨证多见邪阻少阳,经气不利证型,占比近有60%,我们利用小柴胡汤和五苓散加减治疗结核性胸膜炎邪阻少阳之证,观察到临床有效率95%,临床疗效确切,可以明显改善患者症状体征、促进胸水吸收。减轻不良预后发生率。


