工作动态
【胸科故事】大爷误吞牛骨卡住食管命悬一线 北京胸科医院消化内镜中心10分钟挽救患者生命
“异物卡死在食管里2天了,患者两天来没进食水,多项指标出现紊乱,生命垂危。”
日前,北京胸科医院消化内镜中心里上演了惊心动魄的一幕,何玉琦主任团队从患者的食道中取出了一块4cm × 2cm大小的牛骨头,仅仅用了10分钟成功挽救患者的生命。


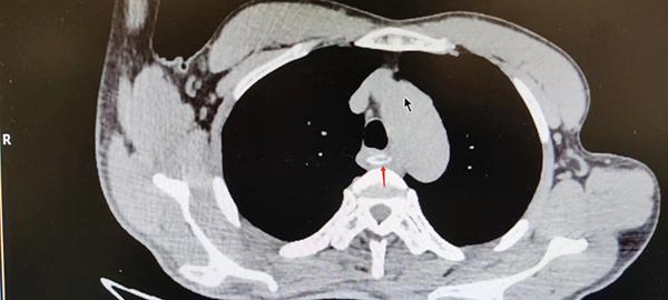
胸部CT照片(红色箭头指向异物处)
家住内蒙古自治区,今年61岁的陈大爷在鬼门关走了一遭。就在前几天,他在用餐时,不小心误吞了一块牛骨头,结果这块骨头不上不下刚好卡在食道中,这上不来下不去的感觉一时间让陈大爷非常难受。但苦于牛骨头被卡的位置比较深,风险比较大以及当地医疗条件不高等因素,这块牛骨头生生地堵了大爷2天。陈大爷一家遂踏上了前往北京的列车。
“两天了,没吃东西,情况特别差。”
陈大爷的儿子说,“我们去了好几家医院都无法解决问题,太着急了,不能因为一块牛骨头就送命吧……”经过几次转诊,陈大爷来到北京胸科医院。在消化内镜中心外,陈大爷的儿子焦急地等待着。
了解情况后,消化内镜中心副主任何玉琦翻阅了患者的胸部CT,决定先用胃镜检查一探究竟。结果这不查不知道,一查之后真吓一跳,整个牛骨头横跨在食管腔内,把食管堵了个严严实实,而且两端非常锐利垂直穿入食管两侧壁内,极有可能存在食管穿孔。
“如果不及时取出食管异物,患者不仅无法进食,而且可能导致重度感染甚至死亡。”何玉琦主任说。

内镜下食管异物图
当机立断,何主任找到患者家属说:“异物必须取出,但是风险极高,有可能目前已经出现食管穿孔,而倘若异物扎入主动脉弓,取出异物则导致消化道出血,可能危及生命,因此我们需要做好随时开胸手术的准备。”
“我们知道风险,总不能看着老爷子就这么没了吧,请您一定救救他。”陈大爷的儿子激动地说着。
在得到陈大爷儿子的同意后,何玉琦主任马上给微创诊疗中心韩毅主任打去了电话,韩毅主任当场表示“没问题,你放心大胆地取吧,我们会去内镜室备着,一旦有问题,随时可以上手术室。”同时消化内镜中心麻醉医生刘进德主任也表示给予全力保障。得到了胸外科团队和麻醉师的支持后,何玉琦主任决定立即为陈大爷取出这块牛骨头。
手术开始,所有人的心情都非常紧张,唯恐鲜血喷涌而出。幸运的是,何主任用异物钳夹住异物一端后使异物与食管呈一斜面,然后缓慢取出另一端,两端并无较多出血。但镜下仔细观察创面后发现,创面较深且随呼吸上下浮动。“穿孔了!快拿三臂夹。”何玉琦主任立马做出准确判断,所有人的心也都提到嗓子眼儿。
10分钟后,陈大爷食道内的创面被一个个封闭,手术过程中何玉琦主任也着实捏了一把汗,最后轻轻地撤出胃镜。
“告诉家属,手术很成功,陈大爷没事了。”
患者住院5天后再次复查胃镜,镜下见钛夹紧密夹闭创面,无明确穿孔征象,考虑患者出院后需进食维持营养,何主任再次给予患者行鼻空肠营养管置入术。
5天后的消化内镜中心,一面红艳艳的锦旗悬挂在大厅,这是北京胸科医院消化内镜中心开诊1个月以来的第一面锦旗,是陈大爷来复查时给予内镜中心的肯定。此时的他,精神矍铄,无不良感觉,无食道穿孔征象,丝毫看不出几天前他刚刚走过了一遭鬼门关。
“作为医生,最希望看到的就是患者康复出院的那一刻。然而这一刻的到来不只是我们消化内科的成绩,更是因为有了麻醉医师和胸外科团队的大力支持,我们才能得以完成这台手术。我想感谢他们的支持和帮助。”何玉琦主任说。







.jpg)
