科室风采
医学人文|“我们都挺好的”

本篇作者

结核内科 聂文娟
聂文娟,北京胸科医院结核内科副主任医师,硕士研究生导师。目前担任中国防痨杂志通讯编委、中国防痨协会临床专业分会秘书长、非结核分枝杆菌病专业分会副秘书长、青年理事会副主委、中华医学会非结核分枝杆菌病专业分会委员、青年学组委员。
相识
即使去掉学医的8年,我做医生有10余年之久了。从刚毕业时为一位老人确诊癌症而悲伤,到现在面对生死波澜不惊,心里默念抢救流程,已经华丽丽地蜕变成了“严肃刻板”的模样。但某些时候、某些情况、某个病人、某个眼神、某声感谢……仍会触动内心的那份柔软。这份动容可以是悲伤、共情,亦可以是敬仰和尊重。
小伍是我的一名小患者,血行播散性结核合并颅内结核,是结核病中最重的一种,病死率极高。小姑娘间间断断咳嗽了1年,1个月前小伍忽然出现高热伴有意识不清,被紧急送进医院。

因为病情太重,小伍爸爸找到我,毫不犹豫地要求我们用最好的治疗救治女儿。大家都会为自己的亲人倾尽全部,但我也深知,能毫无顾忌地做出这样一个决定,并不是一件容易的事。
共战
小伍所患的疾病,治疗过程曲折漫长,病死率高。为了观察病情进展和治疗效果,在诊断和治疗的初期需要每周做1~2次腰穿,小姑娘在住院期间吃了不少苦,刚入院时处于病情的危重时期,更是连下几次病危通知……我们所有的医护人员都不敢肯定,小姑娘能否挺过来。但是,她的父亲每天笑呵呵的,和女儿一直聊天,也微笑着感谢我们。可我们都能想象到他的无助与绝望。
小伍脑脊液中有大量结核菌,这是一个极其危险的信号,意味着小伍是病死率极高的颅内结核中程度最重的。在经过团队商讨后,我们给小伍制定了充分兼顾到颅内病灶的抗结核方案。

上天总是眷顾善良的人,几次在鬼门关打转,小姑娘还是闯过来了。她的意识逐渐恢复,体温渐渐降至正常,脑脊液指标也在逐渐好转。虽然激素“吹”胖了她的身体和脸庞,但胖乎乎的小脸笑起来还是那么灿烂,做治疗时也会乐呵呵地说,最喜欢的人是爸爸。
我们每次查房时,看到小伍一家人,都会心存敬重。因为无论如何,他们始终乐观又相爱,给人一种很温暖的感觉。

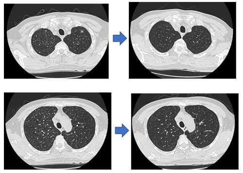
治疗前后患者胸部CT,经过治疗后,双肺多发粟粒样结节数量和面积均有明显减少。
同心
耐药结核病的治疗过程漫长,治疗费用较高。随着病情的稳定,考虑到他们一直以来的经济压力,我曾经婉转地问过患者一家。
在这个过程中,我不断关怀小伍,让她保持良好的精神状态,使她能接受辛苦的治疗,但并没有涉及到给予他们一家经济上的帮助,因为孩子爸爸不愿麻烦别人。每次和他们沟通完,小伍父亲总是笑着说:“好人真多啊,这么多人愿意帮助我们。”
我决定要为他们做点什么。于是,我默默地把我讲的“故事”转发出去,曾经的同学、朋友,甚至萍水相逢的人,都在想办法给他们提供帮助。那段时间,我的泪水常在眼眶里打转……
治疗半年后,小伍和爸爸一起来复诊。她不再使用激素后慢慢恢复了瓜子脸,整个人清秀又稚嫩,身体也强健了不少,精神状态也明显好转,显然变了一个人。爸爸还是一如既往地平静又温暖地说道:“都挺好,我们都挺好的”。
在那一瞬间,我再次被治愈,周身充满了一种叫希望的力量。
医学人文点评
“都挺好”是阅读此文后的诸多感想的凝练。
I gave you my heart.
I wish nothing but the best for you too.
挺好之一是小主人公小伍的“病情挺好”:从病死率极高的颅内结核中程度最重的病重状态终于一步步恢复到脑脊液指标好转,双肺多发粟粒样结节数量和面积明显减少,不再使用激素。
挺好之二是小主人公小伍的“状态挺好”:终于一步步回归到该有的青春模样,恢复了瓜子脸,清秀又稚嫩。
挺好之三是小主人公小伍爸爸的“乐观挺好”:每天笑呵呵的,和女儿聊天,微笑着感谢我们;一如既往地平静、温暖,微笑地对我说:“都挺好都挺好”。
挺好之四是那些和小伍一家素不相识人们的“助力挺好”:“好人真多啊,这么多不认识的人愿意帮助我。”
挺好之五是文娟医生以及她的同行者们的“柔软挺好”:仍会不时触动内心的那份柔软而动容;周身充满了一种叫希望的力量。
May the story this’s told.
Be made of Rose and Gold.
点评人:马涵英
北京安贞医院全科医疗科主任
主任医师


