科普文章
普及CT知识 | 肺部体检一定要查CT,而不是胸片
CT的普及,越来越多的肺内小结节、磨玻璃结节被发现,很多人纠解到底做不做手术。但还有一部分患者,单位体检都是拍胸片,没发现什么问题,结果因为出现呼吸道症状行胸部CT检查发现肺部占位,此时,病灶已经比较大,甚至出现淋巴结转移,导致预后较差,遗憾终生。
本文我将结合一些病例图片,解释下胸片和CT的区别。希望大家体检时,能做CT尽量做CT,增加的花费和辐射量与耽误病情相比实在不值一提。
01 胸片

胸片是X线经过人体后在铅板上的投影,因此是二维图像,前后有重叠。当病变较小或位于肺门、心脏附近时是很难发现的。
胸片的优点:成本低、耗时短,一般医院都可以随去随拍;能够看到胸腔的全貌。胸片一般做为急诊的常规检查,当有气胸、胸腔积液、心包积液、肋骨骨折时,胸片可以很快发现。
胸片的缺点:因为前后重叠,小结节看不到,病变定位不准确,容易漏诊。
02 胸部CT

CT的全称是计算机断层扫描,即把人体水平分割成1.25mm~5mm的薄片,然后观察每一片上是否有病变。所以它是一个三维扫描,通过观察每一层的片子,肺部的病变不再有遮挡,一览无余。
胸片能发现的病变,CT一定可以发现,甚至看的更清楚。所以现在肺部检查首选CT。
03 增强CT
增强CT是在扫描的同时,向血管内注射碘造影剂。这样凡是血供丰富的器官或组织(如血管、肝、脾、心脏)CT扫描时CT值将显著提高,与周围的软组织(如肌肉、淋巴结、病灶)区别更明显,方便判断病变的范围、性质。

增强后,右肺叶间的淋巴结与肺动脉界限非常清晰。
进行增强CT扫描的同时会缓慢注射碘造影剂,根据注射造影剂后CT扫描的时间间隔,分为静脉期、动脉期,腹部增强CT还有门脉期、延时期。胸部增强CT动脉期一般会用C+A表示,这时肺动脉CT值较高,与周围病变区别非常明显,但由于造影剂进入人体内时间较短,血管内灰度可能不均匀。静脉期一般会用C+V表示,此时肺动脉静脉均有造影剂经过,灰度比较均匀,但与软组织(淋巴结、病灶)对比度较动脉期略低。

增强CT的优点是使不同器官、病灶分界更清晰,但也有以下缺点:1、可能有过敏反应,轻者皮疹、瘙痒,重者过敏性休克;2、有甲状腺疾病(如甲亢、甲状腺切除术后、长期口服碘制剂等)的患者不建议进行增强扫描;3、注射造影剂需要高压注射器,注射速度较快,可能有造影剂渗漏、注射部位红肿、静脉炎等情况;4、扫描时间略长,扫描次数增多,接受的放射线剂量增多。
为减少增强扫描后的不良反应、过敏,患者需要多饮水或输液,加速造影剂排出。
什么情况下应该行增强CT扫描:
1、病灶位于肺门、叶间、纵隔:也就是中心型占位,可以更清楚地看到病变大小、位置,与周围血管、淋巴结的关系。
2、肺内病灶为实性、>3cm:通过增强看病灶是否有明显强化,方便判断病灶性质。
3、前、后纵隔肿瘤:明确是否是血管瘤,是否有周围大血管、心包、膈肌、胸壁等器官的侵犯。
4、怀疑肺内病变是血管源性或先天性疾病:如肺内动静脉畸形(瘘)、肺内血管瘤、肺隔离症、弯刀综合征等。
注意:单发或多发的磨玻璃结节,不需要做增强CT,因为意义不大,平扫已经足够看这些小结节了。
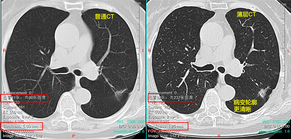
04 薄层CT
前面说过,CT是把人体水平分割成1.25~5mm的薄片,然后观察每一片上是否有病变。当每一层的厚度在2mm以下时,称为薄层CT,常见的薄层CT层厚就是1.25mm。

薄层CT是重建方式,而不是扫描方式,即一次CT扫描,即可以有5mm层厚的片子,也有1.25mm层厚的片子,患者不需要单独强调进行薄层CT扫描。薄层CT片子数量在200张以上,基于成本原因医院一般不会全部打印出来,只能在电脑上看,或是储存在光盘、U盘、云端。
薄层CT分辨率高,<5mm的结节也清晰可见,细节更明显,因此主要用于看磨玻璃结节和<1cm的实性结节。对于大病灶,薄层片子意义不大。一般看片子时,先在普通CT上找到主要病灶,再在薄层上看是否有多发结节,防止漏诊。
05 低剂量CT

低剂量CT即放射量低于普通CT的扫描。由于肺组织为含气器官,X线透过率较高,因此可以用较小的射线量,得到清晰的肺部图像。
从上图两种CT扫描对比看,低剂量CT图像看起来锐度更高、颗粒感更强,但对于左肺上叶的病变的观察与普通CT并无太大区别。而射线暴露量约为普通CT的1/10。
低剂量CT由于需要单独设置扫描参数,因此主要用于:
1、肺部病变的筛查,不适合头部、腹部、四肢等病变(低剂量CT仅在胸部CT扫描中有)。
2、已知肺内有磨玻璃结节、小结节患者的定期随访。
06 CT扫描幅射到底多大?
根据国家CDC发表的研究“我国CT扫描检查中受检者剂量调查结果与分析”,胸部CT扫描加权CT剂量指数(CTDIw)平均值为15mGy,头为43mGy、腹部19mGy、腰椎25mGy。
胸片的辐射量约为CT的1/100。
人接受来自天然本底辐射的全球平均年剂量为2.4mSv,人一年可以承受的最大辐射量约为10mSv。
Gy和Sv都是辐射量的单位,两者区别是Gy是指吸收剂量,Sv是当量剂量。简单地说,Sv指放射源的能量,Gy是我们人体吸收的能量。1Sv等于1Gy乘以生物组织的加权系数,例如生殖腺体0.2,大腿0.01,全身0.05。
因此,10mSv=200mGy(系数=0.05时),这样算下来一年内最多可以做13次胸部CT平扫。胸部增强CT一般要扫描两次,辐射量约为平扫的两倍,因此一年最多做6-7次增强CT。这个数量对大多数患者绰绰有余。
当然这个计算是非常粗略的,现在CT设备可以用更好的软件算法在更低剂量下得到相同质量的影像,放射剂量较以往下降不少,不可一概而论。
参考文献
徐辉, 岳保荣, 尉可道等. 我国CT扫描检查中受检者剂量调查结果与分析[J]. 中华放射医学与防护杂志, 2019, 039(003):213-217.
07 被胸片漏诊的典型病例

患者女性,40+岁,从2015年至今每年行胸片检查,提示“无异常”,2020年的胸片上右肺中野见一结节,复查CT发现右肺下叶背段一个3cm左右占位,边缘可见分叶、毛刺、胸膜牵拉,内部密度不均匀,增强有明显强化,是典型肺癌表现。后进行手术切除,病理为腺癌,无淋巴结转移,分期为Ib期。
根据CT结果回头看胸片,有以下几点体会:
1、如此大的病灶,生长时间可能超过10年。胸片在肺部体检时真没太大用处,小的病变看不见,大的病变看不清,胸片能看到的病变CT都能看到。因此,胸部CT是肺部检查的首选。
2、根据胸片成像质量,2015至2018年是在A医院检查,2019、2020年是在B医院检查,B医院胸片质量明显好于A医院,分辨率更高。
3、2019年已经能看出肺上有病变,但B医院无法对比之前胸片,做出了“无异常”的诊断。直到2020年该病变明显增大,提醒患者行胸部CT检查,发现了这一定时炸弹。
4、2019年至2020年,病变增大较快,提示肿瘤恶性程度比较高。
5、现在进行手术切除,可能也没有淋巴结转移,分期介于I至II期之间,但预后肯定不如更早期进行手术。
上一篇: 送礼不如送健康?您需要提前知道这些事儿~


