您好!欢迎来到首都医科大学附属北京胸科医院官方网站!

引导页

特色诊疗

Diagnosis and treatment

您所在的位置: 首页 >>特色诊疗

特色诊疗

结核病学科

脑膜炎的诊治

字号: + - 14

  对结核性脑膜炎、布氏杆菌性脑膜炎、脑囊虫病等疾病的诊断积累了丰富经验,通过多学科协作,使用微创手术、脑脊液净化及术后康复等手段,对于脊髓结核并发截瘫、顽固性高颅压和慢性脑积水获得了较好的疗效。借助北京的优势医疗资源,搭建了结核病、神经内科、神经外科、骨科、精神科、康复科的MDT平台,做到及时会诊和双向转诊,最大程度地服务于患者。

image.png

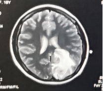
结核性脑膜脑炎患者。

颅内多发病灶、高颅压、脑肿胀、脑室受压,导致意识障碍。

image.png

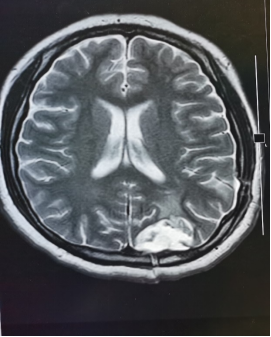
治疗后高颅压缓解,脑室恢复正常

image.png

治疗后患者可行走,无明显症状